Advertisement intended for health care professionals

Acute undifferentiated leukemia

Author:  Elizabeth L. Courville, MD, 09/15/2015
Category: Myeloid Neoplasms and acute leukemia (WHO 2016) > Acute leukemias of ambiguous lineage > Acute undifferentiated leukemia
Published Date: 02/25/2016

41 year old female with anemia and circulating blasts.

Peripheral Blood

Circulating blasts in the peripheral blood comprise 58% of leukocytes. The blasts are small, with smooth to slightly irregular nuclear contours and scant cytoplasm. No Auer rods are seen. 

Acute-undifferentiated-leukemiaPeripheral-Blood
#00060020
 
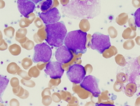
Bone Marrow Aspirate

Blasts comprise the majority of nucleated cells on the aspirate smear (90%). The blasts are negative for myeloperoxidase and NSE by cytochemical stains.  

Acute-undifferentiated-leukemia
#00060019
 
Acute-undifferentiated-leukemia-Bone-Marrow-high-power
#00060018
 
Flow cytometry

By flow cytometry, the blasts are positive for CD34, CD45 (dim), CD7, and HLA-DR. The blasts lack T, B, or myeloid lineage specific markers, including CD3 (surface or cytoplasmic), CD19, cytoplasmic CD79a, myeloperoxidase (MPO), CD117, CD13, CD61, and monocytic markers. 

Acute-undifferentiated-leukemiaFlow-cytometry
#00060017
 

Advertisement intended for health care professionals