Advertisement intended for health care professionals

Acute Myeloid Leukemia with t(9;11)(p22;q23)

Author:  Kristy Wolniak, MD, 01/19/2016
Category: Myeloid Neoplasms and acute leukemia (WHO 2016) > Acute Myeloid Leukemia > Acute Myeloid Leukemia with recurrent genetic abnormalities > AML with t(9;11)(p22;q23); MLLT3-KMT2A
Published Date: 02/25/2016

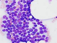
46 year old female with elevated WBC and mild thrombocytopenia.  Peripheral blood counts:  WBC 20.5 K/uL with 33% blasts, Hgb 12.3 g/dL, MCV 100.3 fL, and Plt 113 K/uL

Peripheral blood

The peripheral blood showed increased blasts which are medium in size with azurophlic  cytoplasmic granules and no auer rods.

AML-with-t911p22q23
#00060352
 
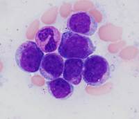
Bone marrow aspirate slides

Representative  bone marrow aspirate slides show increased blasts with moderate amounts of cytoplasm and azurophilic granules.  The nuclei are round or slightly indented and many of the blasts have a monocytic appearance. 

AML-with-t911p22q23
#00060351
 
AML-with-t911p22q23
#00060350
 
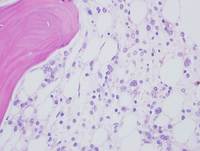
Bone marrow core biopsy

The bone marrow core biopsy shows a hypocellular bone marrow composed predominantly of blasts. 

AML-with-t911p22q23
#00060349
 

Advertisement intended for health care professionals