Advertisement intended for health care professionals

Chronic myelogenous leukemia, BCR-ABL1 positive

Author:  Elizabeth L. Courville, MD, 01/20/2016
Category: Myeloid Neoplasms and acute leukemia (WHO 2016) > Myeloproliferative Neoplasms (MPN) > Chronic Myelogenous Leukemia (CML), BCR-ABL1+
Published Date: 01/21/2016
Chronic myelogenous leukemia (CML) is an uncommon disease which usually presents in middle-age but can occur at any age.

Many patients (20-40%) are asymptomatic at diagnosis of CML and are diagnosed on routine blood evaluation. Presenting symptoms can include splenomegaly and anemia.

Most patients are diagnosed in the chronic phase of CML.
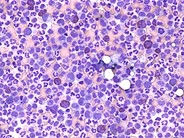
Peripheral blood The peripheral blood shows a leukocytosis and includes neutrophils at different stages of maturation (including myelocytes, metamyelocytes, promyelocytes), an absolute basophilia, and, commonly, eosinophilia.
CML--1
#00001083
 
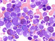
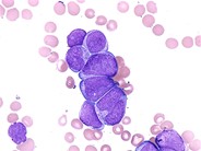
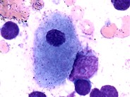
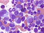
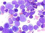
Aspirate smear Bone marrow evaluation shows increased cellularity due to granulocytic hyperplasia with a spectrum of maturation. Megakaryocytes in CML are characterized by decreased size and hypolobated nuclei ("dwarf megakaryocytes").
Chronic-Phase-CML--3
#00002456
 
Chronic-Phase-CML--2
#00002455
 
Chronic-Phase-CML--1
#00002823
 
Pseudo-Gaucher cells Pseudo-Gaucher cells and sea-blue histiocytes can be seen due to increased cell turnover.
PseudoGaucher-cells--4
#00003495
 
PseudoGaucher-cells--3
#00003494
 
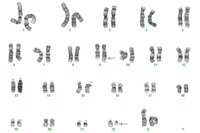
Cytogenetics Chronic myelogenous leukemia is defined by the BCR-ABL1 fusion gene. Most cases have the characteristic t(9;22)(q34;q11.2) identified by routine cytogenetic analysis.
t922-Karyotype
#00060150
 
BCRABL-FISH
#00060151
 
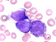
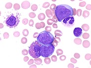
Blast phase CML can progress to a blast phase defined by >20% blasts in the peripheral blood or bone marrow or by an extramedullary blast proliferation. The blast lineage may be myeloid or lymphoid.
Blast-Crisis-of-CML--5
#00002319
 
Blast-Crisis-of-CML--6
#00002320
 
Blast-Crisis-of-CML--12
#00002315
 
Blast-Crisis-of-CML--4
#00002318
 

Advertisement intended for health care professionals