Advertisement intended for health care professionals

Nodular lymphocyte predominant Hodgkin lymphoma: Typical pattern

Author:  Girish Venkataraman, MD, MBBS, 02/16/2016
Category: Lymphoma: Hodgkin Lymphoma > Nodular Lymphocyte Predominant Hodgkin Lymphoma > Typical pattern NLPHL
Published Date: 02/17/2016

This is an enlarged lymph node in a 21 year-old male which was biopsied. The patient had no other constitutional symptoms. The histologic features below demonstrate features of typical nodular lymphocyte predominant Hodgkin lymphoma. Fan and coworkers described various immunoarchitectural patterns based on the content of B-cells and T-cells within the nodules and location of the neoplastic cells (within the nodules, vs periphery vs extranodular). While typical NLPHL comprises nodules rich in small B-cells as depicted here, variant patterns often contain nodules rich in T-cells with predilection for the neoplastic cells to occupy the periphery of the follicles.

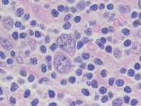
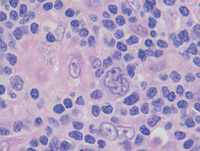
H&E images depicting the architecture and constituent cells of NLPHL

Lymph node architecture effaced by vaguely nodular lymphoid infitlrate. The expansile nodular structures contain predominantly lymphocytes with scattered large cells at high power with the classic "popcorn" cytomorphology of the so called Lymphocytic and Histiocytic (L&H)/ lymphocyte predominant (LP) cells. These cells have convoluted and deeply folded nuclear contours with indistinct nucleoli in contrast to the Hodgkin/Reed Sternberg cell of classical Hodgkin lymphoma. The term 'L&H' comes from the close proximity of the neoplastic cells to lymphocytes and histiocytes within the nodules.

HE-low-power
#00060406
 
HE
#00060407
 
HE
#00060405
 
HE-high-power
#00060404
 
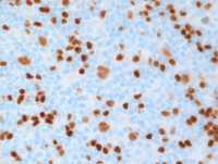
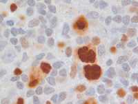
Immunostaining pattern of typical NLPHL case

CD20, Pax5 and Oct-2 (latter two are nuclear markers) are all B-cell lineage markers. The nodular structures show numerous CD20+ small B-cells (evident in the immunostain). The L&H/LP ("Popcorn") cells within the nodules express strong CD20, Pax5 and Oct-2 (depicted at higher power) with a rosette of lymphocytes which are positive for CD3 indicating the presence of T-cell rosettes around the neoplastic cells. CD21 immunostain (a marker of dendritic cells) highlights expanded disrupted meshworks within the nodules.

Numerous CD57 positive lymphocytes are typically noted in NLPHL lesions, a finding of diagnostic use in discriminating NLPHL from the similar looking T-cell/histiocyte rich large B-cell lymphoma wherein the numbers of CD57+ lymphoid cells in the background are much reduced to absent. CD30 is negative in the neoplastic cells allowing exclusion of classical Hodgkin lymphoma.

CD20
#00060403
 
CD3
#00060402
 
Pax5-stain
#00060409
 
Oct2
#00060408
 
CD21
#00060410
 
CD57
#00060411
 
CD30
#00060412
 

Advertisement intended for health care professionals