Advertisement intended for health care professionals

Refractory Cytopenia of Childhood

Author:  Katherine Calvo, MD, PhD, 02/21/2016
Category: Myeloid Neoplasms and acute leukemia (WHO 2016) > Myelodysplastic Syndromes (MDS) > Refractory cytopenia of childhood (provisional)
Published Date: 02/25/2016

8 year old female was evlauated for  pancytopenia.  Cytogenetic analysis showed and abnormal karyotype involving der(5)t(1;5). 

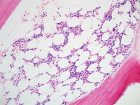
Low power view biopsy

8 year old female with pancytopenia.  Markedly hypocellular bone marrow for age.

Cytogenetic analysis showed and abnormal karyotype involving der(5)t(1;5). 

Refractory-Cytopenia-of-Childhood
#00060441
 
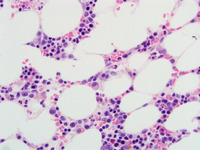
Higher power views of biopsy

Focal areas of the core biopsy show presence of megakaryocytes, and erythroid and myeloid precursors with erythroid predominance.

Refractory-Cytopenia-of-Childhood
#00060440
 
Refractory-Cytopenia-of-Childhood
#00060439
 
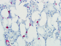
CD61 immunohistochemistry stain

CD61 immunohistochemistry highlights atypical megakaryocytes with micromegakaryocytes

Refractory-Cytopenia-of-Childhood
#00060443
 
CD34 stain

Immunohistochemistry for CD34 shows scattered positive cells, overall less than 5%.

No evidence of increased blasts.

Refractory-Cytopenia-of-Childhood
#00060442
 
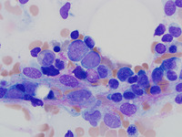
Marrow Aspirate

Aspirate.  No increase in blasts.  Focal area with myelopoieis and erythropoiesis.

Refractory-Cytopenia-of-Childhood
#00060437
 
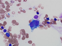
Marrow Aspirate

Paucicelluar aspirate with atypical/dysplastic cell

Refractory-Cytopenia-of-Childhood
#00060438
 

Advertisement intended for health care professionals