Advertisement intended for health care professionals

WHIM Syndrome

Author:  Katherine Calvo, MD, PhD, 02/21/2016
Category: Myeloid Disorders > Congenital Neutropenia syndromes > Warts, Hypogammaglobulinemia, Infections, and Myelokathexis Syndrome
Published Date: 02/25/2016

30 year old female with longstanding history of warts, hypogammaglobulinememia, infections, and neutropenia. 

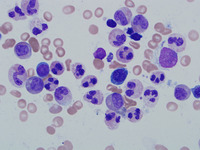
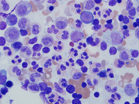
Aspirate

Bone marrow aspirate in the setting of myelokathexis.  Right shifted granulocytes. Muliple neutrophils with nuclear segments connected by thin filamentous chromatin strands.

WHIM-Syndrome-aspirate
#00060454
 
WHIM-Syndrome-aspirate
#00060453
 
WHIM-Syndrome-aspirate
#00060452
 
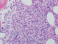
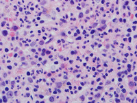
Biopsy

Bone marrow core biopsy shows a hypercellular marrow with

Increased M:E ratio and right shift in granulocytes c/w myelokathexis.

Bone marrow aspirate in the setting of myelokathexis.  Neutrophil (center) vacuolated with nuclear segments connected by thin filamentous chromatin strands.

WHIM-Syndrome-Biopsy
#00060451
 
WHIM-Syndrome-Biopsy
#00060450
 

Advertisement intended for health care professionals