Advertisement intended for health care professionals

T-cell large granular lymphocytic leukemia

Author:  Joo Y. Song, MD, 02/22/2016
Category: Lymphoma: Mature T and NK cell lymphoproliferations > Mature T-cell Leukemias > T-cell Large Granular Lymphocytic Leukemia
Published Date: 02/22/2016

54 year-old woman with neutropenia and occasional atypical lymphocytes noted in the peripheral blood.  

A bone marrow biopsy was performed and shows the below histologic findings.  T-cell gene rearrangements were performed and were positive for a clonal process.

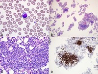
Figure 1

The peripheral blood (A) shows large lymphocytes with basophilic granules.  The particle section from the bone marrow aspirate (B) shows multiple atypical lymphoid aggregates that are (C) mostly composed of small lymphocytes.  Immunohistochemical staining (D) with CD3 shows numerous T cells.

Tcell-large-granular-lymphocytic-leukemia
#00060495
 

Advertisement intended for health care professionals