Advertisement intended for health care professionals

T-cell histiocyte rich large B-cell lymphoma involving marrow

Author:  Girish Venkataraman, MD, MBBS; Yanxia (Cathy) Li, 02/22/2016
Category: Lymphoma: Mature B-cell and Plasma cell Neoplasms > Large B-cell lymphomas (not Richter transformation) > T-cell/histiocyte rich large B-cell lymphoma
Published Date: 02/22/2016

A 73/M developed dragging splenomegaly and pancytopenia which led to a marrow biopsy. A positive T-cell gene rearrangement PCR was noted but the morphologic and immunophenotypic features were inconsistent for a T-cell lymphoma. A second opinion was sought and the findings below illustrate a typical case of T-cell/histiocyte rich large B-cell lymphoma involving the marrow.

Progressed forms of NLPHL rich in T-cell often overlap with cases of T/HRBCL and many think of these two entities to be two ends of a spectrum with a continuum of histologic features that overlap between the two entities.

This case bears resemblance to a series of similar cases of the so-called "micronodular" variant of T-cell/histiocyte rich large B-cell lymphoma described by Drs. Burke and Dogan.

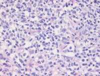
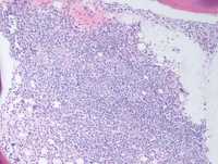
H& E images at low and high power showing nodular lymphohistiocytic aggregates

Nodular lymphohistiocytic aggregates are seen throughout the bone marrow and at places are reminiscent of granulomas. On closer inspection, singly scattered large lymphoid cells are present within a background of lymphocytes and histiocytes within these aggregates.

HE
#00060500
 
HE
#00060501
 
HE
#00060502
 
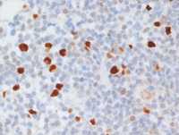
Immunostains

The singly scattered large neoplastic cells are positive for CD20 and Oct-2, both of which confirm B-cell lineage with good preservation of the B-cell program. The background is numerous CD3 + T cells as depicted. Many of these CD3+T cells CD4 T cells (not shown) but are positive for PD-1 but negative for CD8 (shown here). Compared to nodular lymphocyte predominant Hodgkin lymphoma, T-cell rich large B-cell lymphoma lesions are relatively CD8 predominant with much fewer CD57 + T cells.

CD20
#00060496
 
Oct2
#00060497
 
CD3
#00060498
 
PD1
#00060503
 
#00060499
 

Advertisement intended for health care professionals