Advertisement intended for health care professionals

EBV+ Mucocutaneous Ulcer

Author:  Girish Venkataraman, MD, MBBS; Elizabeth Hyjek, MD, PhD, 07/27/2016
Category: Lymphoma: Mature B-cell and Plasma cell Neoplasms > Virus-associated lymphoproliferations > EBV+ Mucocutaneous Ulcer (WHO 2016)
Published Date: 05/05/2017

This is a 77 year old man presenting with developed a left side sore throat in early June 2016. Direct laryngoscopy revealed necrotic appearing left base tongue lesion which was biopsied. Of note, the patient received Methotrexate and Remicade since 2014 for rheumatoid arthritis. This was initially referred as a MYC+ BCL2+ "double expressor" large B-cell lymphoma from the outside institution.

Although the morphologic findings are worrisome, the overall clinical context and morphologic findings are in keeping the recently described entity called EBV+ mucocutaneous ulcer.

This entity has been segregated form EBV+ diffuse large B cell lymphoma by the 2016 revised WHO classification of lymphoid neoplasms as new provisional entity due to its self-limited growth potential and response to conservative management. These lesions may present in advanced age or with iatrogenic immunosuppression.(1,2).

Close follow up without treatment resulted in resolution of lesion within weeks in this case.

References
1.          Swerdlow SH et al. The 2016 revision of the WHO Health Organization classification of lymphoid neoplasms. Blood 2016; 127(20):2375-2390.
2.     Dojcinov SD et al. EBV positive mucocutaneous ulcer- a study of 26 cases associated with various sources of immunosuppression. Am J Surg Path 2010; 34; 405-417.

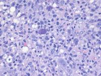
Low and High power images of Ulcer

Ulcer with underlying dense atypical lymphohistiocytic infiltrate with associated necrosis which on higher power shows pleomorphic large and Hodgkin-like cells admixed with lymphocytes and histiocytes with occasional plasma cells.

EBVMCUHE
#00060812
 
EBV-MCU-HE
#00060813
 
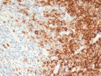
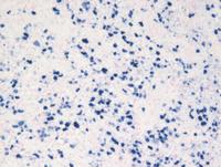
Immunostains in EBV MCU

Immunostains show that the large and Hodgkin-like B-cells within the infiltrate are positive for CD20 with a rich background infiltrate of CD3 positive T-cells. On further analysis, the T-cells are CD8 predominant consistent with an EBV driven process. The large cells are uniformly positive for CD30 with numerous EBV signals identified by in situ hybridization in small as well as large cells.

CD20-IHC
#00060815
 
CD3-IHC
#00060814
 
CD30-IHC
#00060816
 
EBER-ISH
#00060817
 

Advertisement intended for health care professionals