Advertisement intended for health care professionals

BCLU between DLBCL and CHL

Author:  Girish Venkataraman, MD, MBBS, 07/30/2016
Category: Lymphoma: Mature B-cell and Plasma cell Neoplasms > Large B-cell lymphomas (not Richter transformation) > B-cell lymphoma unclassifiable with features intermediate between DLBCL and cHL
Published Date: 01/23/2017

This is a 43-year-old male with enlarged axillary node which was biopsied in 2015.
The overall morphologic findings in the case below (Hodgkin-like cells, rich lymphohistiocytic background with LyG-like cytoarchitecture) and phenotypic profile (CD45 variable, strong B-cell markers, uniform CD15, CD30 weak-negative) are unusual for a pure cHL or a pure DLBCL and hence warrants designation as a gray zone lymphoma.

Case such as these are more common in males and are best treated as aggressive large B-cell lymphoma. This subcategory which was introduced in WHO 2008 continues to be recognized in the 2016 revision.

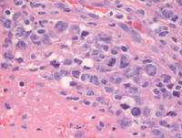
Low and High power of histology of GZL

Sections from the right axillary lymph node demonstrate effacement of the lymph node architecture by a diffuse lymphohistiocytic infiltrate with patchy areas of necrosis and multiple vaguely perivascular clusters and singly scattered large Hodgkin-like cells with wreath-like nuclei somewhat reminiscent of lymphomatoid granulomatosis, grade 3.

The histologic features are intermediate between cHL, LyG grade 3 and T/HRLBCL without any areas displaying sheets of large centroblastic or immunoblastic cells. 

GZL-Low-power
#00060826
 
GZL-High-power
#00060827
 
Immunostains in GZL


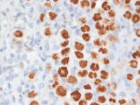
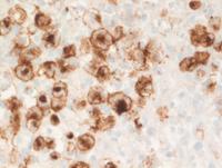
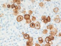
Immunostains show that the large cells are uniformly positive for CD20, and Oct-2. Additional B-cell markers including CD79a, Pax5 (not shown) were also positive indicative of a well preserved B-cell program. The backgound is rich in CD3+ T-cells. There was also weak CD5 expression in the large cells (not shown). Rare large cells express weak CD30 but there is strong uniform CD15 with weak variable Mum1 (usually strong in pure cHL).

 Notably, most of the lymphoma cells are moderately positive for PD-L1.

GZL-CD20-IHC
#00060822
 
GZL-Oct2-IHC
#00060824
 
GZL-CD3-IHC
#00060820
 
GZL-CD30-IHC
#00060823
 
GZL-CD15-IHC
#00060821
 
GZL-PDL1-IHC
#00060825
 

Advertisement intended for health care professionals