Advertisement intended for health care professionals

Cat Scratch lymphadenitis

Author:  Girish Venkataraman, MD, MBBS; Aaron MIller, MD, 08/30/2016
Category: Lymph Node and Spleen: Reactive/infectious > Infectious processes > Granulomatous, Necrotizing
Published Date: 08/31/2016

This is a 7-year-old boy with an enlarged neck lymph node which was biopsied. Reportedly Quantiferon Gold test for tuberculosis is negative. The histologic features below indicate necrotizing lymphadenitis compatible with Cat Scratch lymphadenitis.

Necrotizing lymphadenitis can be seen in a variety of infections with bacterial and cat scratch disease figurng higher on the list in Western countries. The presence of central necrotizing microabscesses with rim of stellate epithelioid histiocytes as seen here is highly suggestive of cat scratch disease. Both AFB (for acid fast bacilli) and GMS stains (for fungus) were negative in this case. Steiner silver stain confirmed presence of bacilli within the necrotic lesions supportive of CSD.

CSD is caused by the bacillus, Bartonella Henselae. The organism often foms extracellular clumps that accumulate within capillaries and macrophages on tissue sections. They stain positive with Warthin-Starry silver stain and appear as gram-negative structures on the Brown-Hopps Gram's stain.

Careful examination of histology can allow exclusion of the allied Kikuchi-Fujimoto lymphadenitis (detailed below)

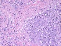
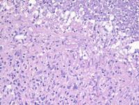
HE images depicting histology

At low magnification, the lymph node architecture is distorted by areas of sclerosis with multiple pale eosinophilic necrotic areas which at places forms serpiginous structures. At higher magnification, the central areas contain necrotic and karyorrhectic admixed with degenerating neutrophils. There is a peripheral rim of epithelioid histiocytes imparting a stellate appearance.

Note that the necrotic areas are not devoid of neutrophils and furthermore, there are no rimming crescentic histiocytes as might be seen in Kikuchi-Fujimoto lymphadenitis which demonstrates somewhat similar histologic features.

Necrotizing-granulomatous-lymphadenitis
#00060839
 
Necrotizing-granulomatous-lymphadenitis
#00060840
 
Necrotizing-granulomatous-lymphadenitis
#00060841
 

Advertisement intended for health care professionals