Advertisement intended for health care professionals

aCML, BCR-ABL1-negative with CSF3R mutation

Author:  Shiraz Fidai; Sahr Syed; Sandeep Gurbuxani; Kristen Pettit; Olatoyosi Odenike, 04/10/2017
Category: Myeloid Neoplasms and acute leukemia (WHO 2016) > Myelodysplastic/myeloproliferative neoplasms (MDS/MPN)
Published Date: 05/28/2021

A 76-year-old male with a history of bladder cancer treated with two local resections and no chemotherapy or radiation transferred from an outside hospital with hyperleukocytosis and an abnormal CBC (white blood cell count 162 K/uL, hemoglobin 8.2 g/dL and platelet 43 K/uL) in 2017. His history is significant for mild leukocytosis and skin infections in 2006. Evaluation of current peripheral blood reveals leukocytosis due to neutrophilia with two distinct subsets of neutrophils (picture shown below). Examination of marrow (depicted below) also showed abnormal findings.

Karyotype analysis reveals a clonal t(7;17) (q22;q11.2) abnormality in 45% of the examined cells. FISH for BCR/ABL1 translocation, PDGFRB translocation, 4q12 (PDGFRA-KIT) rearrangement is negative. CEBPA mutation detection by next-generation sequencing (NGS) is negative. RT-PCR t(9;22) is negative for p210 and p190 transcripts. Large panel next-generation sequencing (NGS) reveals four distinct pathogenic mutations: two involving CSF3R (p.S810Qfs*6), and CSF3R (T618I), with additional mutations in SF3B1 and RAD21. The first mutation in CSF3R gene leads to a premature C-terminal truncation resulting in dysregulation of SRC family-TNK2 kinase signaling. The second CSF3R produces a threonine to isoleucine substitution at amino acid 618. This results in dysregulation of JAK family kinase signaling. CSF3R mutations are seen in the majority of chronic neutrophilic leukemia (CNL) cases, but have been reported in less than 10% of atypical chronic myeloid leukemia (aCML) [1, 2].

The above findings allowed classification as atypical CML, BCR-ABL1-negative. 

 

Learning points:

  1. Because this entity is characterized by overlapping myeloproliferative features (leukocytosis and splenomegaly) and myelodysplastic features, it is currently classified under myelodysplastic/myeloproliferative neoplasm (MDS/MPN) [3].
  2. Most such cases usually present with more striking granulocytic dysplasia. The patient was treated with off-label JAK2 inhibitor (ruxolitinib) and hydroxyurea with marked improvement in hemoglobin and platelet count as well as marked clinical improvement (resolution of splenomegaly and fatigue present at diagnosis).
  3. The other important diagnostic considerations are CML and CNL. While there is peripheral blood neutrophilia with left shift and hypercellular marrow with small megakaryocytes, the presence of dysplasia and absence of BCR-ABL1 fusion allows exclusion of CML.
  4. Interestingly, the presence of CSF3R-T618I mutation and other CSF3R activating mutations have been included as part of the diagnostic criteria for CNL in 2016 WHO classification of myeloid neoplasms and acute leukemia [1]. However, the diagnosis of CNL requires absence of dysplasia.

While leukemoid reaction resulting from a reactive process such as acute/chronic infection or an inflammatory disorder is certainly a possibility, the presence of a clonal abnormalities (translocation and mutations) and morphologic dysplasia allows exclusion of a leukemoid reaction. The case highlights the need to carefully look for dysplasia even in cases that otherwise seemingly present with an infectious/leukemoid blood picture.

 

Reference:

[1] Arber D. et al. The 2016 revision to the World Health Organization classification of myeloid neoplasms and acute leukemia. Blood 2016 127:2391-2405

 

[2] Maxson J. et al. Oncogenic CSF3R mutations in chronic neutrophilic leukemia and atypical CML. N Engl J Med. 2013 May 9; 368(19):1781-90

 

[3] Jaffe E. et al. Hematopathology. 2nd ed. Philadelphia: Elsevier; c2016. Chapter 48, Myelodysplastic/Myeloproliferative Neoplasms, p. 898

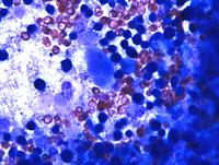
Peripheral blood of aCML case

The peripheral blood smear shows leukocytosis due to neutrophilia and some left shifted myeloid cells with two distinct morphologic subsets of neutrophils, one (majority) showing toxic granulation, toxic vacuolation and Döhle bodies while the other (minor; inset) exhibiting distinct dysplastic changes (nuclear hyposegmentation, abnormally condensed chromatin, and hypogranular cytoplasm). No peripheral blood basophilia, eosinophilia or increased blasts are noted.

aCML-PB
#00061008
 
Bone marrow

Bone marrow evaluation revealed 100% cellular core with marked granulocytic proliferation with a left-shifted maturation and a population of dysplastic granulocytes alongwith markedly reduced erythropoiesis, and small and hypolobated megakaryocytes with widely separated nuclear lobes without any increase in blasts.

aCML-hypercellular-marrow
#00061002
 
aCML-marrow
#00061003
 
aCML-marrow
#00061006
 
aCML-marrow
#00061005
 

Advertisement intended for health care professionals