Advertisement intended for health care professionals

Acute myeloid leukemia with mutated NPM1

Author:  Elizabeth L. Courville, MD; Girish Venkataraman, MD, 09/16/2015
Category: Myeloid Neoplasms and acute leukemia (WHO 2016) > Acute Myeloid Leukemia > Acute Myeloid Leukemia with recurrent genetic abnormalities > AML with mutated NPM1
Published Date: 09/06/2022

This is a 30-year-old male presents with fatigue and leukocytosis. Bone marrow biopsy revealed that blasts comprised the majority (approximately 95%) of circulating peripheral blood and marrow leukocytes.

An NPM1 exon 12 frameshift mutation was detected by PCR.

Learning points:

  1. Cup-like nuclear invaginations are often seen in NPM1-mutated AMLs.
  2. Most NPM1 mutations occur in exon 12 while a small subset of mutations may occur in exon 5.
  3. Notably, the International Consensus classification recognizes that AML with mutated NPM1 diagnosis can be made even with 10% blasts in the marrow (link Table 26). Furthermore, cases of CMML with evolution of AML with NPM1 mutation should not be designated as de novo AML with NPM1 mutation.
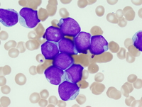
Blasts in AML mutated NPM1

There is a marked leukocytosis with blasts comprising the majority of circulating peripheral blood leukocytes. The blasts are medium to large in size and have an elevated nuclear:cytoplasmic ratio. The nuclear chromatin is fine and there are prominent nucleoli. Frequent blasts show indented or “cup-shaped” nuclear contours. 

 

Blasts comprised the majority (approximately 95%) of circulating peripheral blood and marrow leukocytes. An NPM1 exon 12 frameshift mutation was detected by PCR. 

Acute-myeloid-leukemia-with-mutated-NPM1
#00060027
 
Acute-myeloid-leukemia-with-mutated-NPM1
#00060026
 

Advertisement intended for health care professionals