Advertisement intended for health care professionals

Large B-cell lymphoma with IRF4 rearrangement

Author:  Jayalakshmi Balakrishna, MD; Itziar Salaverria, PhD; Elaine S Jaffe, MD, 04/11/2018
Category: Lymphoma: Mature B-cell and Plasma cell Neoplasms > Large B-cell lymphomas (not Richter transformation) > Large B-cell lymphoma with IRF4 rearrangement
Published Date: 04/11/2018

A 7-year-old boy presented with tonsillar asymmetry and no other symptoms. A left tonsillectomy was performed and the specimen was reviewed at NIH in consultation.

The case shows characteristic features of large B cell lymphoma with IRF4 rearrangement. These large B cell lymphomas can be diffuse, follicular and diffuse or follicular. This particular case shows entirely follicular architecture. The 2017 revision of WHO classification has included this as a provisional entity within the mature B cell neoplasms. This occur commonly in pediatric age group and can show overlapping histological features with pediatric-type follicular lymphoma.

Learning points from this case:

  1. Follicular or diffuse growth pattern

  2. Medium to large neoplastic cells with centroblast like morphology

  3. Positive for pan B cell markers (CD20, CD79a, PAX-5), BCL6 and majority are positive for CD10 and BCL2

  4. IFR4/MUM1 is strongly and diffusely positive

  5. A rearrangement involving IRF4 and IGH loci is present in most cases

  6. Serpiginous pattern of follicles and starry-sky pattern are absent; features which will help to distinguish from pediatric-type follicular lymphoma

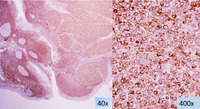
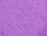
H&E images of LBCL with IRF4 rearrangement

Low power images show expanded nodules/follicles arranged back to back with attenuated mantle zones, replacing the normal architecture of the tonsil. At medium and high power, these nodules are composed of large atypical cells with moderate amounts of cytoplasm, mostly round to oval nuclei, finely clumped chromatin and basophilic nucleoli. Mitotic figures are not prominent and starry-sky pattern is not detected.  

LBCL-with-IRF4-HE-Low-40x
#00061413
 
LBCL-with-IRF4-HE-Low-100x
#00061414
 
LBCL-with-IRF4-HE-medium-200x
#00061415
 
LBCL-with-IRF4-HE-high-400x
#00061416
 
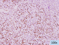
Images of immunostains in LBCL with IRF4 rearrangement

The neoplastic cells are positive for CD20 and express CD10 and BCL6. BCL2 is positive in the neoplastic follicles and the germinal centers of adjacent reactive follicles are negative. MUM1 is diffusely and strongly positive.  CD21 highlights the follicular dendritic cell meshworks associated with the follicles.

LBCL-with-IRF4-CD20
#00061410
 
LBCL-with-IRF4-CD10
#00061409
 
LBCL-with-IRF4-BCL6
#00061408
 
LBCL-with-IRF4-MUM1
#00061417
 
LBCL-with-IRF4-BCL2
#00061407
 
LBCL-with-IRF4-CD21
#00061411
 
FISH for IRF4 rearrangement

FISH analysis using the break apart probe for IRF4 gene on chromosome 6 shows loss of telomeric signal (red) and single IRF4 signals (green; green arrows) along with the normal (co-localization) signal (red and green; yellow arrows).

LBCL-IRF4-breakapart-FISH
#00061412
 

Advertisement intended for health care professionals