Advertisement intended for health care professionals

B-lymphoblastic leukemia, BCR-ABL1-like

Author:  Girish Venkataraman, MD, MBBS; Lauren Ritterhouse, MD PhD; Jeremy Segal, MD,PhD.; Mark Applebaum, MD; Tara Suntum, MD; Madina Sukhanova, MD; Dilshad Dhaliwal, MD, 07/03/2018
Category: Myeloid Neoplasms and acute leukemia (WHO 2016) > Precursor Lymphoid Neoplasms > B-lymphoblastic leukemia/lymphoma > B-lymphoblastic leukemia/lymphoma, BCR-ABL-like (provisional)
Published Date: 09/06/2022

This is a three-year-old boy who presented to his primary care physician with shotty lymphadenopathy, initially attributed to a viral infection but developed a petechial rash within a week on his extremities. Complete blood count performed revealed markedly elevated white cell count of 160,000/ul with low platelets of 11,000/ul and anemia of 8.7 g/dL.

A bone marrow biopsy revealed an extensive involvement by lymphoblastic leukemia characterized as B-lymphoblastic leukemia, BCR-ABL1-like (provisional entity in WHO 2017). These are also called 'Ph-like B-ALLs'.

 

The blasts in this case carried a CRLF2 rearrangement with a JAK2 mutation and equivocal Ikaros (IKZF1) loss. These findings are consistent with reported cooccurence of JAK2 mutations in nearly 50% of CRLF2-rearranged Ph-like B-ALLs. These patients have shown a good response to TKI (Tyrosine Kinase inhibitors).

  • Distinct subgroups are defined based on the type of cytokine receptor fusion:
  1. CRLF2 rearrangements.
  2. ABL-class rearrangements.
  3. JAK2 and EPOR rearrangements.
  4. Sequence mutations/deletions with resulting JAK-STAT or MAPK signaling pathway activation.
  • Ph-like B-ALL comprises 10% and 15% respectively of NCI standard-risk and high-risk childhood B-ALLs. Its incidence drops sharply beyond adolescent age group in contrast to Ph+ B-ALL, the incidence of which continuously rises with age. Within adolescent population, Ph-like B-ALLs carry dismal outcomes compared to all non-Ph-like B-ALLs.
  • This patient started therapy on the AALL1131 COG high risk protocol, achieved a negative MRD at end of induction and is currently on day 15 of interim maintenance.
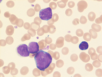
Circulating blasts in the blood in B-ALL

Numerous circulating medium to large-sized blasts with high N/C ratio (image on the left). In the image on the right side, the blasts are more than twice the size of the small lymphocyte present on the right side of the field.

BALL-Blasts-in-blood
#00061569
 
BALL-Blasts-in-blood
#00061570
 
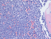
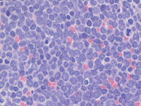
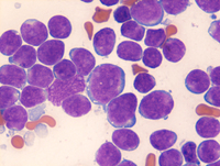
Bone core biopsy and aspirate in B-ALL

Bone marrow core biopsy demonstrating diffuse sheets of blastic cells replacing most of the marrow space. At higher power, the blasts exhibit dispersed fine chromatin with a sprinkling of mitoses. Bone marrow aspirate smear demonstrates variably-sized blasts with similar morphology as the peripheral blood.

BALL-core-biopsy
#00061571
 
BALL-core-biopsy
#00061572
 
BALL-marrow-aspirate
#00061573
 
Gating flow plot in B-ALL

The flow cytometry gating plot depicted below shows a large blast population comprising nearly 83% of all cells expressing lower levels of CD45 compared to the lymphocytes to the right of the cluster. Note that there are virtually no granulocytes within the granulocyte gate, a finding consistent with diffuse replacement of the marrow space by blastic cells.

Flow-CD45Side-scatter
#00061574
 
Flow cytometry for B-lineage markers

The lymphoblasts (red) are uniformly positive for CD19 with heterogeneous CD34 (marker of immaturity) expression. Normal mature B-cells (purple) are positive for CD19 but not for CD34. Normal T-cells (green) are negative for both CD19 and CD34.

The second plot demonstrates that the blasts are positive for cytoplasmic CD79a with weak expression of cytoplasmic CD22, further supporting B-lineage origin.

BALL-flow
#00061576
 
BALL-flow
#00061575
 
Additional markers on blasts

The CD20 versus CD10 plot demonstrates the blasts express uniform CD10 with heterogeneous CD20. The expression of CD10 is compatible with a 'common' precursor B-ALL phenotype.

The blasts are additionally expressed CD58, a marker often upregulated in B-lymphoblasts compared to maturing normal hematogones.

The blasts also express abnormal bright CD38.

BALL-flow
#00061577
 
BALL-flow
#00061579
 
BALL-flow
#00061578
 
CRLF2 flow cytometry

Blasts exhibit expression of CRLF2 by flow cytometry. The vertical line with overlay of blue histogram show the normal negative populaton for reference.

BALL-CRLF2
#00061568
 
Cytogenetic studies

There was a normal karyotype on conventional karyotyping while Fluorescence in situ hybridization analysis of this sample was positive for CRLF2 rearrangement with a loss of 5' CRLF2 and negative for the IGH translocation, BCR/ABL1 and the ETV6/RUNX1 fusions, an MLL translocation and trisomy for chromosomes 4, 10, and 17.

Loss of 5'CRLF2 portion results in a juxtaposition of CRLF2 with the promotor for the P2RY8 gene, leading to overexpression of CRLF2, consistent with the results of flow cytometry.

No Image is attached in this Figure.
Molecular studies

There was a JAK2 R683G mutation in exon 16 of the JAK2 gene results in an arginine to glycine substitution at amino acid 683 (pseudokinase domain) of the JAK2 protein. Codon R683 is a hotspot mutation site in JAK2 and p.R683G has been recurrently described as a somatic mutation in multiple acute lymphoblastic leukemia (ALL) cases (cancer.sanger.ac.uk/cosmic). Functional studies of the p.R683G mutation in murine Ba/F3 cells have showed growth factor independence and constitutive activation of the JAK/STAT signaling pathway (Blood. 2009; 113(3):646-8).

Mutations in JAK-STAT signaling pathway (most commonly JAK2-p.R683G) are seen in approximately 11% of all Ph-like ALLs and about 50% of Ph-like ALLs with CRLF2 alterations (Reviewed in J Clin Oncol. 2017 Mar 20;35(9):975-983, Blood. 2017 Nov 9;130(19):2064-2072). Limited evidence suggests JAK2 mutations are associated with a poor prognosis in patients with CRLF2 alterations (Blood. 2017 Feb 2;129(5):572-581).

No Image is attached in this Figure.

Advertisement intended for health care professionals