Advertisement intended for health care professionals

MDS with ring sideroblasts

Author:  Girish Venkataraman, MD, MBBS; Yue Lynn Wang, MD, PhD; Michael Thirman, MD, 07/09/2018
Category: Myeloid Neoplasms and acute leukemia (WHO 2016) > Myelodysplastic Syndromes (MDS) > MDS with Ring Sideroblasts (MDS-RS) > MDS-RS and single lineage dysplasia
Published Date: 07/09/2018

The patient is a 73-year-old female with complaints of weakness and osteoporosis who underwent bone marrow biopsy. Her serum Vitamin B12 levels are normal without evidence of positive DAT or elevated haptoglobin. There is decrease HbA2.

Laboratory studies showed a hemoglobin of 9.9 g/dL with MCV of 95.8 fL and normal platelet count of 269,000/uL.

The findings below demonstrate myelodysplastic syndrome with ring sideroblasts and single lineage dysplasia (MDS-RS-SLD, WHO 2017) with an underying SF3B1 mutation and normal karyotype. SF3B1 mutations are common findings in MDS, particularly in cases characterized by ring sideroblasts (50-85%) (N Engl J Med 2011, 365(15): 1384-95; Leukemia 2013, 27(9): 1826-31). Though some studies have shown that SF3B1 mutations are associated with better clinical outcome in MDS patients (N Engl J Med 2011; 365(15):1384-95; Leukemia 2014; 28(2):241-7), their impact on disease prognosis remains controversial (Blood 2012; 119(2):569-72, Blood 2015; 125(9):1367-76).

Learning points:

  1. Previously called Refractory anemia with ring sideroblasts in the previous 2008 WHO, this entity is now called as MDS with RS and further subdivided into cases with single lineage or multilineage dysplasia.
  2. Mutations in SF3B1, spliceasome machinery protein are present in many of these cases.
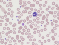
Peripheral blood findings

Red blood cells show moderate anisopoikilocytosis with a few microcytes, macrocytes, polychromasia, occasional elliptocytes and rare teardrop cells. Circulating white cells are morphologically unremarkable without evidence of absolute monocytosis or dysplastic changes in the neutrophils (image on the right). Large granular lymphocytes are somewhat prominent as depicted here. Note the adequate numbers, appropriate granulation and the varying sized platelets.

MDSRS
#00061625
 
MDSRSSLDBlood
#00061620
 
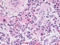
Bone core biopsy


Bone core biopsy shows a slightly hypercellular marrow with very occasional atypical megakaryocytes. Otherwise, background myeloid maturation is progressive and normal while erythroid precursors are appropriately intermingled. About 2-3% CD34+ blasts were present (not shown).

MDSRS
#00061626
 
MDSRSSLDHE
#00061621
 
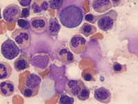
Aspirate smears

On the aspirate smears erythroid maturation is progressive with some atypia/nuclear irregularity and megaloblastoid change. There is no vacuolation in the erythroid precursors (as might be seen with copper deficiency). Myeloid maturation is left shifted with very occasional neutrophils with abnormal chromatin clumping. Lymphoid cells are not significantly increased.

MDSRS
#00061623
 
MDSRS
#00061624
 
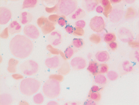
Iron stain

Prussian blue stain show numerous ring sideroblasts as noted here comprising over 50% of erythroid precursors.

MDSRS
#00061622
 
Molecular findings

Molecular studies using NGS detected pathogenic mutations in SF3B1 and in addition CUX1, SETBP1, and TET2.

SF3B1: This missense change in exon 15 of the SF3B1 gene produces a lysine to glutamic acid substitution at amino acid 700 of the splicing factor 3B subunit 1 protein, which is the major hotspot for SF3B1 somatic mutations in myeloid neoplasms (cancer.sanger.ac.uk/cosmic).

In vitro analysis suggests SF3B1 hotspot mutations (including p.K700E) can induce cryptic 3' splice site selection and cause aberrant mRNA splicing (Cell Rep. 2015, 13(5): 1033-45).

No Image is attached in this Figure.

Advertisement intended for health care professionals