Advertisement intended for health care professionals

Intravascular DLBCL with Associated Hemophagocytosis

Author:  Jason X. Cheng, MD, PhD.; Philip Hoffman, MD, 07/09/2018
Category: Lymphoma: Mature B-cell and Plasma cell Neoplasms > Large B-cell lymphomas (not Richter transformation) > Intravascular large B-cell lymphoma
Published Date: 05/28/2021

This is a 68-yr-old female of Asian-Indian origin with a newly diagnosed autoimmune hemolytic anemia (AIHA) who was admitted for shortness of breath. Her past history included a seronegative rheumatoid arthritis being treated by prednisone and leflunomide.  Complete blood count showed Hgb of 8.1 g/dL and low platelets (48,000/uL).

Bone marrow biopsy was performed to further diagnose the cause of an underlying hemolytic anemia.

She had a low haptoglobin (<20 mg/dL) and elevated D-dimer (11.38 ug/mL), abnormal elevated PT of 32.7s and INR of 3.4 with low fibrinogen (168 mg/dL). Her serum ferritin was elevated at 9833 ng/mL as was serum triglcyerides at 346 mg/dL. Also EBV quantitative PCR showed elevated EBV DNA at 25,000 copies/mL

Bone marrow biopsy images shown below are a typical example of intravascular large B-cell lymphoma associated with extensive hemophagocytic lymphohistiocytosis (HLH).

The patient received a modified R-CHOP regimen with cyclophosphamide, rituxumab, and high dose steroids (no vincristine or doxorubicin due to hepatic and renal failure). Patient's condition rapidly deteriorated and she succumbed to the disease shortly.

Learning points:

  1. Intravascular DLBCL is a rare sybtype of non Hodgkin lymphoma, with tumour cells growing in blood vessel lumina and usually with rare circulating neoplastic cells in peripheral blood. Extranodal sites such as skin, CNS are mainly affected.
  2. Lymph nodes are usually spared causing a significant delay in reaching an accurate diagnosis.
  3. Many cases present with non specific signs and symptoms such as fever, CNS and skin involvement. Cutaneous variants have a relatively better prognosis. 
  4. Two major patterns of organ involvement by intravascular large B-cell lymphoma have been reported.
    • 'Western form'- seen in Western countries with a cutaneous variant predominantly involving CNS or skin
    • 'Asian form' which often involves multiple organs and presents with hepatosplenomegaly, anemia, HLH, and multiorgan failure
    • The often poor prognosis has substanially improved by the use of chemotherapy specifically R-CHOP regimen.
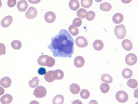
Figure 1: Peripheral blood findings in IVLBCL

There was marked normocytic anemia, and red blood cells showed some agglutination (image on the left), marked anisocytosis, increased polychromasia, occasional spherocytes and nucleated forms. Platelets were markedly reduced. Review of the peripheral blood smear shows occasional circulating atypical lymphoid cells. The image on the right shows atypical lymphoid cells are medium to large in size and have  irregular nuclei, clumped chromatin and high N/C ratio. A lymphocyte is seen at the bottom for comparison.

Flow cytometry showed a CD19+ CD5+ (partial) lambda restricted mature B-cell clone.

Intravascular-DLBCLBlood
#00061634
 
Intravascular-DLBCLBlood
#00061635
 
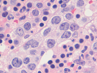
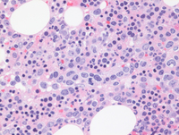
Figure 2: Bone marrow H&E in IVLBCL

The bone marrow core biopsy shows multifocal abnormal lymphoid infiltrate with a prominent sinusoidal infiltrating pattern (at higher power).

Intravascular-DLBCLBiopsy-HE
#00061630
 
Intravascular-DLBCLBiopsy-HE
#00061631
 
Intravascular-DLBCLBiopsy-HE
#00061632
 
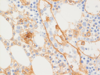
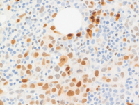
Figure 3: CD20 in IVLBCL

CD20 immunostain highlights the atypical sinusoidal infiltrate strongly confirming their B-lineage origin.

Intravascular-DLBCLCD20
#00061636
 
Intravascular-DLBCLCD20
#00061637
 
Figure 4: BCL2 & MUM1 in IVLBCL


The large B-cells strongly express cytoplasmic BCL2 (image on left) and nuclear MUM1 (image on right). They were additionally also positive for CMYC by IHC (not shown). Despite the EBV viremia, EBV ISH was negative in the marrow.

Intravascular-DLBCLBCL2-IHC
#00061629
 
Intravascular-DLBCLMUM1
#00061639
 
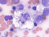
Figure 5: Aspirate smears in IVLBCL

Scattered large vacuolated lymphoma cells are noted in the image on the left with evidence of hemophagocytic histiocytes noted in both images.

Intravascular-DLBCLAspirate
#00061628
 
Intravascular-DLBCLAspirate
#00061627
 
Figure 6: CD31 in IVLBCL

CD31, a vascular endothelial marker highlights the negative large lymphoma cells within the sinusoidal spaces positive for CD31.

Intravascular-DLBCLCD31
#00061638
 

Advertisement intended for health care professionals