Advertisement intended for health care professionals

Acute promyelocytic leukemia (typical)

Author:  Girish Venkataraman, MD, MBBS; Mohamed Eldibany, MD; Mir Alikhan, MD, 07/09/2018
Category: Myeloid Neoplasms and acute leukemia (WHO 2016) > Acute Myeloid Leukemia > Acute Myeloid Leukemia with recurrent genetic abnormalities > AML with t(15;17)(q22;q12); PML-RARA (and variants)
Published Date: 07/18/2018

This is a thirty-five year old man with pancytopenia and DIC currently being treated for presumed acute promyelocytic leukemia but FISH analysis and karyotype did not show any evidence of underlying t(15;17) translocation. The patient is on ATRA since this marrow and at the time of this review with good response so far.

CBC corresponding to this marrow indicates Hb=10.5 g/dL; WBC=1.4 k/uL and Platelet=21 k/uL.

Karyotype studies showed 46,XY,t(1;11)(p32;q23),del(13)(q12q22)[6]/46,XY[14] while there was no evidence of PML-RARA fusion using a dual fusion probe but RT-PCR demonstrated evidence of a PML-RARA fusion confirming that this is indeed the classic variant albeit cytogenetically negative with underlying cryptic translocation likely related to submicroscopic insertion/fusions below the threshold of detection of the FISH fusion probes used. Such cases while exceedingly rare, have been described in the context of APL and usage of smaller RARA break-apart probes and/or RT-PCR are both useful in identifying most if not all cases cytogenetically negative via dual fusion probes.[1]

REF:

1: Rashidi A, Fisher SI. FISH-negative, cytogenetically cryptic acute promyelocytic leukemia. Blood Cancer J. 2015 Jun 19;5:e320.

Learning points:

  1. Acute promyelocytic leuekemia often presents with pancytopenia and DIC and harbors underlying t(15;17) translocation involving PML and RARA genes. Rare cases with classica translocation may be cytogenetically negative but detectable by RT-PCR.
  2. They respond exquisitely to ATRA and arsenic combination therapy. Cases with variant translocation (involving PLZF/ZBTB15, or STAT5B may have suboptimal response to this therapy.
  3. By flow cytometry, leukemic promyelocytes often lack CD34 and HLA-DR. When both are positive, microgranular variant must be considered.
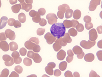
Blood smear in APL

The peripheral blood shows pancytopenia with circulating leukemic promyelocytes containing Auer rods. Note the marked reduction in background platelets on the smear.

APLBlood
#00061648
 
APL
#00061652
 
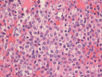
Bone core biopsy findings in APL

The H&E section of the bone core biopsy demonstrates sheets of monomorphic leukemic promyelocytes with abundant granular eosinophilic cytoplasm replacing most of the interstitial areas. CD117 immunostain is strongly positive in the leukemic promyelocytes.

APLBlood
#00061654
 
APL
#00061655
 
APLBlood
#00061656
 
APL
#00061653
 
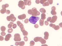
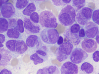
Aspirate smears in APL

Aspirate smears are notable for numerous leukemic hypergranular leukemic promyelocytes filled with stacks of Auer rods. Many of these leukemic cells often disintegrated with frequent extracellular Auer rods that may be seen.

APLBlood
#00061651
 
APL
#00061649
 
APLBlood
#00061650
 
Cytogenetics and FISH

Karyotype showed 46,XY,t(1;11)(p32;q23),del(13)(q12q22)[6]/46,XY[14] without any t(15;17) translocation and FISH probes using PML-RARA fusion probe (second image) did not show any fusion (separate red and green signals) while the RARA breakapart probe did show any breaks (third image). However RT-PCR identified transcripts.

APLBlood
#00061709
 
APLkaryotype
#00061711
 
APL
#00061708
 
APLBlood
#00061710
 

Advertisement intended for health care professionals