Advertisement intended for health care professionals

Polycythemia vera with progression

Author:  Girish Venkataraman, MD, MBBS; James Vardiman, MD; Olatoyosi Odenike, MD; Loren Joseph, MD, 07/10/2018
Category: Myeloid Neoplasms and acute leukemia (WHO 2016) > Myeloproliferative Neoplasms (MPN) > Polycythemia Vera (PV) > Proliferative phase
Published Date: 07/12/2018

This is a 73-year-old woman diagnosed with Polycythemia Vera in 2010 at which time she had a hemoglobin of 16.9 g/dL, WBC count of 14,500/uL and normal platelet count of 310,000/uL. She was noted to have low erythropoietin levels (2.3 mIU/mL) at that time and carried a JAK2V617F mutation at that time.

The marrow depicted here is from an year after the original diagnosis after which she was on hydroxyurea with normalized count but with some features worrisome for progression at this time. She continued on pegylated interferon, hydroxyurea and phlebotomy since this 2011 marrow.

However, 6 years later, there was evidence of clonal (new del13q) and morphologic progression to fibrotic stage with increased blasts and dysplastic hematopoiesis. She then underwent an allogeneic stem cell transplantation.

Learning Points:

  1. Blood counts and morphologic findings may be altered after therapy and reclassification of disease should not be done through different time points of a disease modified by therapy.
  2. Progression or evolution should however be noted in follow up biopsies.
  3. PV is notable for high allele burden of mutated JAK1V617F.
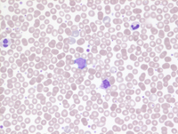
Peripheral blood

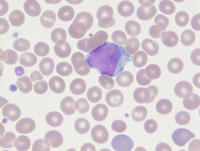
At this time the WBC was 13,400/uL, Hemoglobin was 12.6 g/dL and Platelet count was 282,000/uL.

The peripheral blood smear shows mild leukocytosis that is due primarily to an increase in the numbers of granulocytic cells. Blasts with features of myeloblasts account for about 5% of the WBCs (third image high power). There is a moderate "left shift"with increased bands and occasional myelocytes. There is also absolute basophilia (second image bottom cell). Although most area morphologically normal, occasional neutrophils have hypogranular cytoplasm and/or abnormally segmented nuclei with nuclear excrescences (see second image).  The red blood cell morphology shows only mild anisopoikilocytosis, with occasional macrocytes, very rare teardrop shaped RBCs, polychromasia (third image) and occasional cells with basophilic stippling. Rare NRBCs are also seen (not shown). Platelets are present in adequate number, and occasional giant platelets as well as circulating megakaryocytic nuclei are noted.

MPNPolycythemia-Vera
#00061657
 
MPNPolycythemia-Vera
#00061658
 
MPNPolycythemia-Vera
#00061659
 
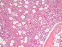
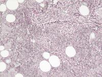
Bone core biopsy

The bone marrow biopsy specimen shows a hypercellular bone marrow (80-85%).  Although the cellularity is due somewhat to panmyelosis, the predominant cells are megakaryocytes and granulocytes. Megakaryocytes are prominently increased in number.

MPNPolycythemia-Vera
#00061660
 
MPNPolycythemia-Vera
#00061661
 
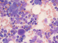
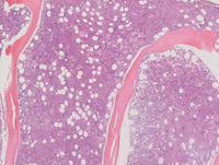
Bone core biopsy higher power

The megakaryocytes are of variable size, ranging from normal to enlarged forms with somewhat hyperlobulated nuclei. A few smaller forms are also seen. None are bizarre,however, and they generally lack the "bulky" nuclei observed in primary myelofibrosis.

Granulopoiesis is shifted towards segmented neutrophils, which are focally very abundant.  Erythropoiesis is primarily limited to small scattered islands and is overall at least relatively reduced in quantity. There is some shift towards pronormoblasts, but maturation is seen as well. Although blasts are observed scattered throughout the biopsy, they appear only minimally increased in percentage.

The bone trabeculae show some variability, ranging from somewhat thinned to thickened bone. There is a definite increase in reticulin fibers, 1-2+/3+ noted on the reticulin stain.

A CD34 stain showed 5% blasts.

MPNPolycythemia-Vera
#00061662
 
MPNPolycythemia-Vera
#00061663
 
MPNPolycythemia-Vera
#00061664
 
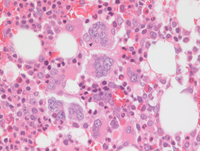
Marrow aspirate

The bone marrow aspirate smears shows variably sized spicules and variable cellularity, which may in part be due to the underlying reticulin fibrosis. In these preparations blasts account for about 4-5% of the bone marrow cells, depending on the area examined. There is maturation in the granulocytic lineage to segmented neutrophils which predominate. Minor dyspoietic features are appreciated in some of the maturing granulocytes, such as rare myelocytes with twinned nuclei, or, in the mature cells, irregular nuclear excrescences. However, overall, the dyspoietic features are not prominent. There are more erythroid precursors noted on the aspirate smears than in the biopsy. They are generally normoblastic, although occasional dyspoietic forms with multi-nucleation are seen (not seen in this image).

The megakaryocytes show the same range of morphology as described in the biopsy. Basophils are somewhat conspicuous, but not markedly increased percentage.

MPNPolycythemia-Vera
#00061665
 
Molecular studies

Testing for JAK2V617F by RT-PCR was performed using a semi- quantitative assay. From the signal strength for the calibrators, it could be estimated that this sample has a JAK2 level greater than the 50% range, a range which can be clinically significant (and consistent with the diagnosis of PV which typically demonstrates high mutated allele burden).

This level (greater than 50% of the alleles) is most likely due to  loss of the normal allele ('LOH' loss of heterozygosity) rather than amplification of the mutated allele. See for example an early report by R. Kralovics et al in NEJM 352:1779 (2005).

No Image is attached in this Figure.

Advertisement intended for health care professionals