Advertisement intended for health care professionals

T-PLL relapse

Author:  Girish Venkataraman, MD, MBBS; Elizabeth Hyjek, MD; Andrew S Artz, MD; Dilshad Dhaliwal, MD, 07/14/2018
Category: Lymphoma: Mature T and NK cell lymphoproliferations > Mature T-cell Leukemias > T cell Prolymphocytic Leukemia
Published Date: 05/28/2021

This is a 56 year old male patient with relapsed T-cell prolymphocytic leukemia 2.5 years after matched unrelated donor stem cell transplantation.

He was initially diagnosed in 2015 with white cell count of 54,400/ul at the time with extensive bone marrow infiltration and diffuse lymphadenopathy as well as splenomegaly. Flow cytometry at that time demonstrated expression of CD45, CD3 and CD4 without CD8 on the neoplastic T cell population. However when he relapsed with disease after transplant,  there was a change in immunophenotype of neoplastic T cells  in the skin and bone marrow with notable double expression of CD4 and CD8 with loss of CD45.

Since the most recent relapse, he was on started on anti-CD52 therapy alongwith pentostatin and bendamustine but CBC showed progressively rising blood counts with lymphocytosis. The slides and flow plots since relapse (on therapy) are depicted below.

Learning point from case below:

1.T-PLL is a rare, aggresive T cell leukemia characterised by small to medium sized prolymphocytes that show mature/ post thymic immunophenotype. The main affected organs are PB (peripheral blood), spleen, liver, bone marrow and skin.  
2. Three morphological variants have been identified as- classic (75%), small cell variant (25%) and cerebriform or sezary cell like variant (5%).

3.T-PLL often presents as high counts in the blood with atypcial small to medium sized lymphoid cells showing classic punched out nucleoli and cytoplasmic blebs.

4. Immunophenotyping shows the neoplastic T cell population positive for CD3 (weak), CD2, CD5, CD7 and CD52. Mostly CD4+/CD8- T cell population is seen. In certain cases a co-expression of CD4 and CD8 may be seen. TCL1 immunohistochemistry has better sensitivity than FISH for TCL1 rearrangement. 
5. Change in immuophenotype may occur in T-cell propulation, so careful attention must be paid to such changes at relapse.

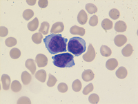
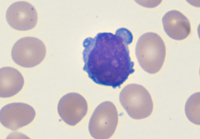
Morphological images of neoplastic T cells in peripheral blood.

Following are the morphological images of neoplastic T cells, a prolymphocyte morphology can be appreciated. These atypcial lymphoid cells are small to medium sized, with pale blue-grey cytoplasm with a few cytoplasmic blebs, nucleus has clumped chromatin with a prominent central nucleolus.

TProlymphocytic-leukemia
#00061678
 
TProlymphocytic-leukemia
#00061679
 
TProlymphocytic-leukemia
#00061680
 
Gating plot in T-PLL

Gating CD45 versus side scatter plot shows a large population of cells (colored aqua) negative for CD45 with low side scatter in comparison with the lymphocytes seen to the far right (colored red and green) expressing moderate CD45.

TProlymphocytic-leukemia
#00061681
 
Pan T-cell antigens in T-PLL

The abnormal T-cell cluster is positive for CD7, CD5 and CD3, all of which are pan T-cell antigens. CD7 additionally stains normal NK-cells which are negative for CD3 and CD5. Note in the second CD3 versus CD7 plot, the abnormal population of T-PLL is positive for CD3 while the background NK cells are CD3 negative the right CD7 expression. The other green cluster in that plot negative for both CD3 and CD7 are B-cells. Both CD5 and CD7 are abnormally bright relative to the other T-cells in pink color.

TProlymphocytic-leukemia
#00061683
 
TProlymphocytic-leukemia
#00061687
 
TProlymphocytic-leukemia
#00061688
 
CD4 and CD8

The T-PLL cells (aqua) are positive for both CD4 and CD8 while the normal CD4 (red) and normal CD8 (pink) are visible as separate clusters. The abnormal cells additionally express T-cell receptor-alpha and dim CD52. CD52 expression assessment is important in B- and T-PLL for anti-CD52 (CAMPATH) therapy.

TProlymphocytic-leukemia
#00061685
 
TProlymphocytic-leukemia
#00061689
 
TProlymphocytic-leukemia
#00061690
 

Advertisement intended for health care professionals