Advertisement intended for health care professionals

Myeloma involving marrow.

Author:  Girish Venkataraman, MD, MBBS; Andrzej Jakubowiak, MD; Shiraz Fidai, MD; Carina Yang, MD, 07/18/2018
Category: Lymphoma: Mature B-cell and Plasma cell Neoplasms > Plasma Cell Neoplasm > Plasma cell myeloma
Published Date: 06/04/2019

This is a 58-yrs old male with plasmacytoma and IgG Kappa Multiple Myeloma now with T12 cord compression s/p T11-L1 laminectomies and epidural plasmacytoma resection who presents for consultation regarding further management. Labs showed markedly elevated IgG (8.3 g/dL), elevated beta-2-microglobulin (15.6 mg/L) serum free kappa light chains (ratio 99.3) and elevated serum calcium of 12.4 mg/dL and serum viscosity. Despite his Mediterranean descent, G6PD levels were normal and rasburicase was administered prior to further therapy. He was started on CyBorD (cylophosphamide, bortezomib, dexamethasone) with plan to enroll on clinical trial thereafter.

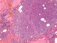
A bone marrow biopsy performed is depicted below.

Learning points:

1. CD138/CD38 used for gating plasma cells in flow analysis

2. Malignant plasma cells lose CD19 and express aberrant CD56.

MRI: Sag T1 FS Post L-spine can be paired with Ax T1 FS Post T12 lesion

Sagittal T1 fat saturated post-contrast images of the lumbar spine and axial T1 fat saturated post-contrast images through the T12 lesion demonstrate diffusely abnormal signal throughout the visualized marrow, with areas of patchy enhancement corresponding to active myelomatous lesions.  There is extensive spinous process involvement at the T12 level with epidural extension, resulting in severe central spinal canal stenosis and complete effacement of CSF signal in the thecal sac. Mild to moderate compression deformity of T12.

MRI-myeloma
#00062336
 
MRI-myeloma
#00062338
 
MRI: Sag T1 and STIR of T-spine

Sagittal T1 and STIR images of the thoracic spine demonstrate diffusely abnormal T1 hypointense signal throughout the visualized marrow and areas of patchy STIR hyperintensity relating to marrow edema due to myelomatous involvement, most conspicuous at the T12 level, along with T6 vertebral body and T2 spinous process involvement.  Moderate compression deformity of T6.

MRI-myeloma
#00062337
 
MRI-myeloma
#00062335
 
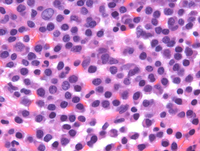
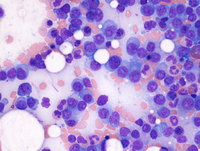
Biopsy in myeloma

The core biopsy shows hypercellular marrow replaced extensively by sheets of plasma cells which are easily identified at high power. Virtually no normal hematopoiesis is identified.

Myeloma
#00061705
 
Myeloma
#00061706
 
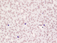
Blood in myeloma

Examination of the peripheral blood smear shows marked red cell rouleaux formation. Circulating plasma cells are not seen.

Myeloma
#00061707
 
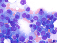
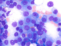
Aspirate smears in myeloma

Aspirate smears are notable for numerous plasma cells occasionally exhibiting anaplastic cytomorphology.

Myeloma
#00061702
 
Myeloma
#00061704
 
Myeloma
#00061703
 
Flow cytometry

Flow cytometry in the first plot shows a cluster of cells circled (lymphocytes) expressing moderate CD45 and low side scattered. To the top and left of the lymphocytes, a cluster of cells is seen representing plasma cells with dim CD45 and slightly higher side scatter consistent with abundant cytoplasm within the plasma cells.

 

The second CD38 vs CD138 plot shows a green population expressing biphasic CD138 and represent plasma cells. This combination is typically used gating plasma cells. CD38 often gets downregulated with anti-CD38 therapy (daratumumab) and attention must be paid to such therapy prior to any MRD analysis for plasma cells so as to not miss these populations.

Myeloma
#00061698
 
Myeloma
#00061700
 
Other flow markers in myeloma


The malignant plasma cells are negative for CD19 and positive for CD56 with uniform kappa light chain restriction. Normal plasma cells are positive for CD19 and do not express CD56.

Myeloma
#00061699
 
Myeloma
#00061701
 
FISH studies

Interphase FISH analysis was undertaken with a myeloma panel of probes on the plasma cells enriched using a CD138 positive selection procedure. The analysis
showed a signal pattern consistent with a:

  1. CKS1B gain (85%),
  2. Trisomy for chromosomes 3 (82.5%) and 9 (82%)
  3. Gain of ATM or chromosome 11 (85%), and
  4. Loss of chromosome 13 (55.5%). 
No Image is attached in this Figure.

Advertisement intended for health care professionals