Advertisement intended for health care professionals

Erdheim-Chester Disease

Author:  Sanjay Patel, MD; Elizabeth Morgan, MD, 09/05/2018
Category: Macrophage/Histiocytic and dendritic cell Neoplasms and disorders (2015) > L group > Erdheim-Chester disease
Published Date: 09/05/2018

This is a 35-year-old man who presented with yellow, sclerotic plaques on the sclera. These were not associated with change in vision or difficulty with extraocular movements. In addition, the patient had noticed an abnormal, macular brown pigmentation, predominantly on the central trunk with confluence on the central chest and upper extremities.

A CT scan showed systemic nodular infiltrates and splenomegaly. An MRI showed bilateral sclerotic tibial lesions. A bone marrow examination is negative.

Learning points:

  1. Radiographic studies often show bilateral and symmetrical cortical osteosclerosis of the diaphyseal and metaphyseal parts of the long bones. Although characteristic, and highly suggestive of ECD, these findings may only be seen in a subset of cases.

  2. ECD is characterized by foamy histocytes with bland nuclear morphology occurring singly and in aggregates. These cells are characterized by vacuolated cytoplasm,  often in a fibrotic background with admixed chronic inflammation. Multinucleated (Touton-type) giant cells are often present.
  3. May be difficult/impossible to distinguish from reactive xanthomatous macrophages in the setting of chronic inflammatory conditions based solely on histologic/immunophenotypic features.
  4. The abnormal histocytes notably lack expression of CD1a and langerin. Approximately 20% of cases will show S100 expression.
  5. BRAFV600E mutations have been reported in >50% of cases, and correlate with cytoplasmic expression of mutant protein by immunohistochemistry.
  6. MAP2K1, RAS mutations, PIK3CA mutations and various fusions involving BRAF, ALK and NTRK1 have also been described in ECD.
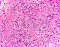
Low power H&E

Punch biopsy show diffuse dermal infltrate of bland cells with pale cytoplasm.

ErdheimChester-Disease
#00061842
 
ErdheimChester-Disease
#00061844
 
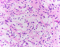
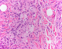
High power H&E

At higher power, foamy histocytes with bland nuclear morphology occurring singly and in aggregates are noted. These cells are characterized by vacuolated cytoplasm,  often in a fibrotic background with admixed chronic inflammation.

ErdheimChester-Disease
#00061845
 
ErdheimChester-Disease
#00061843
 
ErdheimChester-Disease
#00061846
 
CD68 in ECD

The histocytes exhibit cytoplasmic granular positivity of CD68 (depicted). The neoplastic cells also classically express PU.1, lysozyme, CD163, factor XIIIa, and fascin (not shown).

ErdheimChester-DiseaseCD68
#00061847
 

Advertisement intended for health care professionals