Advertisement intended for health care professionals

Indeterminate dendritic cell tumor

Author:  Kyle T. Wright, MD; Elizabeth Morgan, MD, 09/05/2018
Category: Macrophage/Histiocytic and dendritic cell Neoplasms and disorders (2015) > L group > Indeterminate cell histiocytosis
Published Date: 09/05/2018

The patient is a 62-year-old male with a history of hypertension and gastroesophageal reflux disease presenting with innumerable firm, flesh colored skin lesions (1-3 mm in diameter) involving his upper extremities, back, and trunk. Imaging at the time of presentation was otherwise unremarkable. The family history is unremarkable for hematolymphoid neoplasia. 

The patient's CBC data at presentation was as follows: WBC 6.7K/uL (59% neutrophils, 31% lymphocytes, 5% monocytes, 3% eosinophils), Hb 15.1g/dL, Plt 172K/uL, MCV 93fL).

Learning points:

  1. Indeterminate dendritic cell tumors, initially described in the late 1980s, are extraordinarily rare neoplasms with only several case reports and case series present in the literature. The neoplastic cell of origin is the "indeterminate cell" which is a putative Langerhans cell precursor. Patients typically present with a solitary or generalized skin papule(s), while primary nodal or splenic involvement is seen less often. Due to the rarity of this lesion, the natural disease history and prognostic factors are poorly understood. To date, documented clinical courses have been variable including cases with spontaneous regression and reports of transformation to acute leukemia.
  2. IDCTs are usually diffuse, dermal-based, and composed of cells that are similar in appearance to Langerhans cells. The lesional cells are positive for S100 and CD1a. Langerin, however, is negative and the lesional cells will be devoid of Birbeck granules by electron microscopy, which differentiates indeterminate cells from bona fide Langerhans cells and are keys to the diagnosis. They have also been reported to have variable staining for CD4, CD68, CD45, and lysozyme, while other T and B lineage markers, CD163, and CD21/CD23 are routinely negative.
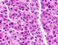
HE image of IDCT

•The patient underwent simultaneous skin punch biopsies of the right upper back, right upper arm, and left forearm which showed a diffuse dermal infiltrate consisting of intermediate-sized cells with folded to grooved nuclei and abundant eosinophilic cytoplasm.

•The infiltrate extended into the superficial portion of the subcutaneous adipose tissue, but the epidermis was largely uninvolved.

•An associated infiltrate of small-sized lymphocytes was present.

Indeterminate-dendritic-cell-tumor
#00061848
 
Indeterminate-dendritic-cell-tumor
#00061849
 
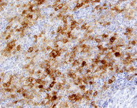
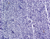
Immunostains in IDCT

•Immunohistochemical studies demonstrated that the infiltrate was strongly positive for both S100 and CD1a and negative for Langerin.

•The lesional cells also showed subset positivity for CD4, CD68, and lysozyme (not shown).

•The Ki-67 proliferative index was low throughout the lesion (approximately 5%).

Indeterminate-dendritic-cell-tumorCD1a
#00061850
 
Indeterminate-dendritic-cell-tumorS100
#00061851
 
Indeterminate-dendritic-cell-tumorLangerin
#00061852
 

Advertisement intended for health care professionals