Advertisement intended for health care professionals

NK-cell enteropathy

Author:  Wenbin Xiao; Jinjuan Yao; Kseniya Petrova-Drus; Anita Kumar; Ahmet Dogan, 10/24/2018
Category: Lymphoma: Mature T and NK cell lymphoproliferations > NK-cell enteropathy
Published Date: 10/24/2018

This is a 76-year-old female with nonspecific upper GI dyspepsia for a few years. GI endoscopy showed multiple superficial ulcers in gastric and duodenal mucosa.

Endoscopic biopsies were performed and depicted below. The findings below are characteristic of NK-cell enteropathy.

Learning points

  1. This entity is an atypical NK proliferation  termed NK-cell enteropathy and may involve multiple sites of the GI tract.
  2. It is indolent, thought to be reactive. Many patients are often misdiagnosed and overtreated (chemo/HSCT)
  3. Infiltrates are usually superficial and non-destructive without significant atypia.
  4. This entity should not be confused with the 'indolent T-cell lymphoproliferative disorder of the GI tract' recognized in the new WHO 2016 which is CD8+.
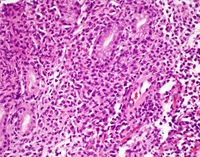
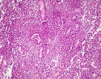
Gastric body biopsies HE

Biopsies of the gastric body shows a diffuse infiltrate of bland monotonous small lymphoid cells with moderate amount of pink cytoplasm and bland nuclei percolating in the lamina propria without any destructive features.

NKcell-enteropathyHE
#00061914
 
NKcell-enteropathyHE
#00061915
 
NKcell-enteropathyHE
#00061916
 
Immunostains

CD2 and CD3 are both strongly positive. However, CD5 is negative in most of the cells while few scattered background T-cells are positive on CD5. The lack of CD5 allows exclusion of T-cell lineage and supports NK-derivation. NK cells not express CD5 while T-cells do.

NKcell-enteropathyCD3
#00061918
 
NKcell-enteropathyCD2
#00061917
 
NKcell-enteropathyCD5
#00061919
 
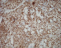
CD56 stain


CD56 is strongly positive as is typical of most NK-cell proliferations. Additionally CD4 and CD8 were negative while EBV was negative.

PCR for T-cell gene rearrangements were polyclonal consistent with the germline TCR genes expected in NK cell proliferations.

NKcell-enteropathyCD56
#00061921
 
NKcell-enteropathyCD56
#00061920
 
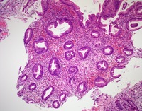
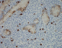
Duodenal biopsy and CD56

There is involvement of the duodenal biopsies with strong CD56 expression noted.

NKcell-enteropathyHE
#00061922
 
NKcell-enteropathy
#00061923
 

Advertisement intended for health care professionals