Advertisement intended for health care professionals

Beta-thalassemia trait

Author:  Geoffrey Wool, MD; Girish Venkataraman, MD, 10/24/2018
Category: Red Cell: Hemoglobin disorder > Thalassemias
Published Date: 10/24/2018

This is a 35-year-old female who was recently noted to have breast mass and workup revealed strong family history of cancer. Workup CBC revealed abnormal findings as below:

Component    Value          Ref Range & Units   
WBC               5.3            3.5 - 11.0 10*3/uL  
RBC                5.52 (H)     3.88 - 5.26 10*6/uL   
Hemoglobin     11.7           11.5 - 15.5 g/dL  
Hematocrit       36.1          36 - 47 %   
MCV               65.4 (L)      81 - 99 fL   
MCH               21.2 (L)      26 - 33 pg   
MCHC             32.4          32 - 35 g/dL   
RBCW            15.4 (H)     <15.0 %   
Platelet Cnt     350           150 - 450 10*3/uL 

Learning points:

  1. The findings below are characteristic of a beta-thalassemia trait with elevated total HbA2 (6%) and elevated F (2.8%).
  2. Elevated RBC count with microcytosis supports thalassemia in this case. In iron deficiency, RBC count would be low.
  3. Notably there is a variant HbA2 called HbA2 prime in this case which elutes as 4.53 minutes separate from HbA2 and may be missed in the calculation of total HbA2. This variant is a benign delta chain variant frequently seen in the African-American population.
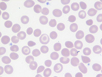
Peripheral blood with microcytosis

Image depicting small lymphocyte with numerous red cells with size smaller than the nucleus of the lymphocyte consistent with the low MCV and microcytosis by indices. Scattered target cells are noted in the other image.

Betathalassemia-traitBlood
#00061926
 
Betathalassemia-traitBlood
#00061925
 
HPLC plots

In the HPLC plots below, the following major hemoglobins are noted at the various elution times:

  1. HbF (2.8%)-          1.11 minutes
  2. HbA (82.5%)-        2.48 minutes
  3. HbA2 (3.2%)-        3.68 minutes
  4. HbA2prime (2.8%) 4.53 minutes

HbA2 >3.5% of total hemoglobin is diagnostic of thalassemia. In this case, combining both the HbA2 and HbA2 prime gives 6% HbA2.

Betathalassemia-traitHPLC
#00061927
 

Advertisement intended for health care professionals