Advertisement intended for health care professionals

Progressive transformation of germinal centers (PTGC)

Author:  Girish Venkataraman, MD, MBBS, 10/25/2018
Category: Lymph Node and Spleen: Reactive/infectious
Published Date: 10/25/2018

This is a 28-year-old male with enlarged right axillary lymph node that was biopsied. A pathology opinion is requested at this time due to concern for Hodgkin lymphoma.

The findings below are characteristic for progressive transformation of germinal centers which is often associated with adenopathy and nodal enlargement. A proportion of patients have autoimmune conditions.

Learning points:

  1. Large expansile follicles with ingrowth of mantle zone cells into these follicles is a typical morphology in this condition.
  2. IgD is a useful mantle zone stain that highlights these cells encroaching into the follicles.
  3. Scattered large OCT-2+/PAX5+ centroblasts or immunoblasts may be mistaken for cells of nodular lymphocyte predominant Hodgkin lymphoma and this remains a pitfall.
H&E

The multiple sections studied demonstrate distortion of the lymph node architecture by multifocal reactive follicular hyperplasia with several areas showing expanded follicular structures with numerous mantle zone cells infiltrating into the germinal centers, consistent with progressive transformation of germinal centers. No definite large atypical cells ("L&H/LP ("popcorn") cells") cells are present.

PTGCHE
#00061937
 
PTGCHE
#00061938
 
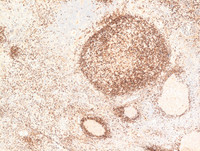
IgD immunostain

 IgD and BCL-2 (not shown) highlights mantle zone cells and areas of progressive transformation of germinal centers. See reactive small secondary follicles to the markedly enlarged PTGC follicles. The last image also shows an IgD+ plasma cell within the reactive follicle in addition.

BCL2 normally stains mantle zone cells and normal T-cells in all lymphoid tissue.

PTGCIgD
#00061939
 
PTGCIgD
#00061941
 
PTGCIgD
#00061940
 

Advertisement intended for health care professionals