Advertisement intended for health care professionals

Breast-implant associated Anaplastic large cell lymphoma

Author:  Naoki Oishi, MD PhD; Andrew L Feldman, MD, 10/26/2018
Category: Lymphoma: Mature T and NK cell lymphoproliferations > Mature T-cell Lymphomas > Anaplastic Large Cell Lymphoma, ALK negative
Published Date: 05/28/2021

A 54 year-old female presented with right breast enlargement.  Textured silicone breast implants had been placed for 8 years following bilateral mastectomies for breast cancer.  A seroma was identified surrounding the right breast implant and the seroma fluid was aspirated.

This case shows typical clinical, histological, and immunophenotypic features of breast implant-associated anaplastic large cell lymphoma (BIA ALCL), a new provisional entity in the 2016 revision of the WHO classification.  

 

Learning points from the case

  1. BIA-ALCL is a rare T-cell lymphoma arising in association with breast implants placed for cosmetic or reconstructive purposes. 
  2. BIA-ALCL usually has an indolent clinical course when the lesion is confined to the seroma fluid and/or fibrous capsule surrounding the breast implant.  Extension through the capsule to form a mass, involvement of locoregional lymph nodes, and rarely spread to distant sites are associated with a less favorable prognosis
  3. Large pleomorphic cells are present in the seroma fluid and/or fibrous capsule surrounding the implant.
  4. The tumor cells express CD30 and cytotoxic molecules, with frequent loss of T-cell antigen expression.
  5. The tumor cells are ALK-negative and also lack gene rearrangements involving the DUSP22 and TP63 loci.
Figure 1: Cytology of BIA-ALCL

As in this case, BIA ALCL often is first identified in cytological specimens.  The cytology preparation (left) and cell block (right) both show large pleomorphic cells in a background of reactive inflammatory cells.  Although BIA ALCL is rare, the development of peri-implant seromas is not uncommon.  Therefore, these specimens should be examined carefully for atypical cells, the presence of which may be much more subtle than in the presented case.

BIAALCL
#00061983
 
Figure 2: Phenotype of BIA-ALCL

Immunohistochemistry on sections of the cell block shows the tumor cells to be negative for CD20 and CD45.  They show weak and focal expression of CD3.  CD3 and CD45 highlight reactive cells in the background.  The tumor cells show strong, uniform staining for CD30 with a membranous and Golgi pattern of staining, as typically seen in ALCL.  Immunohistochemistry for ALK, a surrogate marker for the presence of an ALK rearrangement, is negative.

BIAALCL
#00061984
 
Figure 3: T-cell markers in BIA-ALCL

The tumor cells express CD4 and CD43.  There is loss of multiple other T-cell antigens.  CD2 is only focally expressed, and CD5 and CD7 are negative.  CD8 is negative.  Many ALCLs lack expression of T-cell receptor-associated proteins.  Here, neither an ab nor a gd phenotype can be demonstrated, as shown by negativity for bF1 and TCRd, respectively.  Although not performed in this case, BIA ALCLs typically express cytotoxic markers such as TIA1, granzyme B, and/or perforin.

BIAALCL
#00061985
 
Figure 4: Genetics of BIA-ALCL

The image shows fluorescence in situ hybridization (FISH) using a breakapart probe to the DUSP22 locus on 6p25.3.  Two tumor cell nuclei each show a normal signal pattern of two red-green fusion signals, indicating the absence of a DUSP22 rearrangement.  DUSP22 rearrangements are seen in up to 30% of systemic or primary cutaneous ALCLs, but have been absent in reported cases of BIA ALCL, as have rearrangements of ALK and TP63.

BIAALCL
#00061986
 
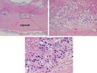
Figure 5: BIA ALCL in a capsulectomy specimen

Although BIA ALCL may be diagnosed in cytology specimens as above, it also may also be identified first in capsulectomy specimens at the time of implant removal.  These images show such a case.   The low-power image shows the fibrous capsule surrounding the breast implant.  The inner surface of the capsule is covered by fibrinous material and a layer of atypical cells.  The high-power image demonstrates these large pleomorphic cells.

BIAALCL
#00061987
 

Advertisement intended for health care professionals