Advertisement intended for health care professionals

Plasma cell myeloma with t(11;14)

Author:  Girish Venkataraman, MD, MBBS, 11/03/2018
Category: Lymphoma: Mature B-cell and Plasma cell Neoplasms > Plasma Cell Neoplasm > Plasma cell myeloma
Published Date: 11/03/2018

The patient is a eighty-year-old man who presented initially two years ago with iron deficiency anemia without improvement on iron supplementation. He was noted three months after presentation with large lytic left scapular bone lesion (shown below) that was initially thought to represent lymphoplasmacytic lymphoma. There was extensive bone marrow involvement at the time. There was evidence of markedly elevated serum free lambda light chain. Cytogenetic studies revealed evidence of t(11;14) involving IGH and cyclin D1 (CCND1) with monosomy 13. This was reclassified and treated as plasma cell myeloma.

Learning points:
1. Plasma cell myeloma with underlying t(11;14) have been described.
2. This myeloma is often positive for CD20 with expression of cyclin D1
3. Plasma cells exhibit "lymphocyte-like" cytomorphology, raising diagnostic confusion with lymphoplasmacytic lymphoma.

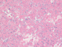
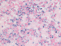
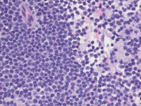
Figure 1: HE images

Low power images demonstrate sheets of neoplastic lymphoid/plasmacytic cells with associated pink amorphous hyaline deposits identified to be amyloid. On higher power, the neoplastic cells are unusually small plasma cells with "lymphocyte-like" cytomorphology.

Myeloma-with-Cyclin-D1
#00062001
 
Myeloma-with-Cyclin-D1
#00062002
 
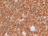
CD20 and CD138

CD20 (bottom left), B-cell marker and CD138 (bottom right), plasma cell marker are both strongly positive.

Myeloma-with-Cyclin-D1
#00061998
 
Myeloma-with-Cyclin-D1
#00061999
 
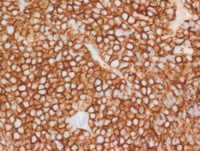
Cyclin D1

Cyclin D1 is strongly positive in the neoplastic cells.

Myeloma-with-Cyclin-D1
#00062000
 
Restricted lambda

There is restricted lambda light chain by in situ hybridization (bottom right). The image on the bottom left corresponds to kappa light chain.

Myeloma-with-Cyclin-D1
#00062003
 
Myeloma-with-Cyclin-D1
#00062004
 

Advertisement intended for health care professionals