Advertisement intended for health care professionals

NLPHL with variant patterns progressing to DLBCL

Author:  Sylvia Hartmann; Girish Venkataraman; Martin-Leo Hansmann, 11/12/2018
Category: Lymphoma: Hodgkin Lymphoma > Nodular Lymphocyte Predominant Hodgkin Lymphoma > Variant pattern NLPHL
Published Date: 11/15/2018

This is a 51-year-old male patient with a history of nodular lymphocyte predominant Hodgkin lymphoma (NLPHL). The primary diagnosis of NLPHL was made 9 years prior on a cervical lymph node at that time stage IA (histology: atypical NLPHL). After RTX he was in complete remission. The patient developed coronary artery disease and underwent a bypass operation. Some time after this operation he noticed a slowly growing mass in the left axilla, which was finally excised after few years watchful waiting.

The diagnosis of NLPHL with typical and variant pattern and transformation into diffuse large B cell lymphoma was made. Due to his general condition the patient refused treatment by conventional chemotherapy and received rituximab monotherapy. The lymphoma responded well on this treatment. However, the patient died few years later related to cardiac failure.

Since the patient had watched the lymphoma mass growing for several years, almost all six NLPHL patterns described by Fan et al.1 could be observed in this single lymph node. In some areas, also features reminiscent of T-cell/histiocyte rich large B-cell lymphoma (pattern E according to Fan et al., T-cell/histiocyte rich large B-cell lymphoma-like transformation) were observed. The relatively high of number of small reactive B cells associated with neoplastic large cells, fits well with atypical NLPHL variant with progression when compared with cases of de novo T-cell/histiocyte rich large B-cell lymphoma. 

Learning points:

  1. Atypical NLPHL variants have a higher risk of relapse/progression when compared with typical NLPHL.3
  2. NLPHL has a risk of transformation into DLBCL of up to 14%, depending on treatment.4,5  
  3. Several atypical NLPHL variants can be found in one lymph node and can morphologically resemble T-cell/histiocyte rich large B-cell lymphoma

References

1.    Fan Z, Natkunam Y, Bair E, et al. Characterization of variant patterns of nodular lymphocyte predominant hodgkin lymphoma with immunohistologic and clinical correlation. Am J Surg Pathol. 2003;1346-1356.

2.    Hartmann S, Eray M, Doring C, et al. Diffuse large B cell lymphoma derived from nodular lymphocyte predominant Hodgkin lymphoma presents with variable histopathology. BMC Cancer. 2014;332.

3.    Hartmann S, Eichenauer DA, Plutschow A, et al. The prognostic impact of variant histology in nodular lymphocyte-predominant Hodgkin lymphoma: a report from the German Hodgkin Study Group (GHSG). Blood. 2013;4246-4252.

4.    Al-Mansour M, Connors JM, Gascoyne RD, et al. Transformation to aggressive lymphoma in nodular lymphocyte-predominant Hodgkin's lymphoma. J Clin Oncol. 2010;793-799.

5.    Biasoli I, Stamatoullas A, Meignin V, et al. Nodular, lymphocyte-predominant Hodgkin lymphoma: a long-term study and analysis of transformation to diffuse large B-cell lymphoma in a cohort of 164 patients from the Adult Lymphoma Study Group. Cancer. 2010;631-639.

6.    Hartmann S, Schuhmacher B, Rausch T, et al. Highly recurrent mutations of SGK1, DUSP2 and JUNB in nodular lymphocyte predominant Hodgkin lymphoma. Leukemia. 2016;844-853.

7.    Schuhmacher B, Bein J, Rausch T, et al. JUNB, DUSP2, SGK1, SOCS1 and CREBBP are frequently mutated in T-cell/histiocyte rich large B-cell lymphoma. Haematologica. 2018.

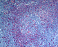
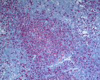
Figure 1: H&E images

HE images showing nodular architecture in many areas. Note the tumor-cell rich area in the image on the top right within the nodules.

NLPHL-with-progression
#00062047
 
NLPHL-with-progression
#00062048
 
NLPHL-with-progression
#00062049
 
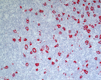
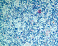
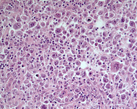
Figure 2: NLPHL areas in higher power

At high power, scattered L&H/LP ("popcorn") cells are noted amidst histiocytes and lymphocytes.

NLPHL-with-progression
#00062057
 
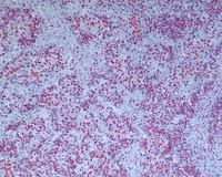
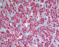
Figure 3: NLPHL typical pattern of immunoarchitecture-CD20 stain

Nodular clusters of CD20+ small B-cells house the LP cells which also express CD20. The location of the LP cells within nodular small B-cell clusters is the typical pattern seen in most NLPHL cases. (so called 'Pattern A')

NLPHL-with-progression
#00062046
 
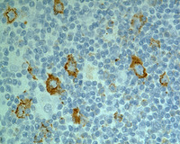
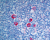
Figure 4; NLPHL- other markers expressed on LP cells

NLPHL cells expresses

  1. CD19 (top left),
  2. BCL6 (top right; nuclear stain),
  3. J-chain (bottom left; red cytoplasmic) and
  4. CD75 (bottom right, cytoplasmic).
NLPHL-with-progression
#00062038
 
NLPHL-with-progression
#00062037
 
NLPHL-with-progression
#00062045
 
NLPHL-with-progression
#00062041
 
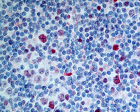
Figure 5: CD30 and EMA in NLPHL

CD30 (left) is  negative and only background reactive immunoblasts express CD30. In rare instances, the LP cells can express CD30 but this is always weak and variable. CD15 is negative in most cases and allows separation from classical Hodgkin lymphoma.  The background immunoblasts are often confused to be neoplastic and some cases end up being misclassified as classical Hodgkin lymphoma.

EMA (right) is also often positive in LP cells. Background plasma cells express EMA serving as internal controls.

NLPHL-with-progression
#00062040
 
NLPHL-with-progression
#00062044
 
Figure 6: Areas with variant patterns

Patterns D and E are notable for nodules that are rich in T-cells. This is seen as negative cells within the nodules on CD20 stain noted below. Images show pattern D in the images below. Note that residual small B-cells are present in the background of these nodules.

Although not depicted, Pattern C is notable for LP cells located in the immediate vicinity of the nodular structures extending into the internodular areas.

NLPHL-with-progression
#00062050
 
NLPHL-with-progression
#00062051
 
Figure 7; Areas with pattern E

Very little nodular pattern is appreciated here on the H&E slides. However, CD20 stain shows preserved nodularity with paucity of background small B-cells.

NLPHL-with-progression
#00062055
 
NLPHL-with-progression
#00062056
 
NLPHL-with-progression
#00062052
 
NLPHL-with-progression
#00062053
 
NLPHL-with-progression
#00062054
 
Figure 8; Areas of pattern F-CD20


Areas with diffuse areas with scattered LP cells amidst scattered small B-cells in the background.

NLPHL-with-progression
#00062060
 
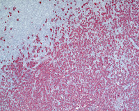
Figure 9: Areas of transformation to DLBCL

Areas of transformation with sheets of large B-cells in the same biopsy. These are strongly positive for CD20.

NLPHL-with-progression
#00062036
 
NLPHL-with-progression
#00062034
 
NLPHL-with-progression
#00062035
 

Advertisement intended for health care professionals