Advertisement intended for health care professionals

Progressive Transformation of Germinal Centers

Author:  Timothy Carll, MD; Yanxia (Cathy) Li, MD; Girish Venkataraman, MBBS, 03/12/2019
Category: Lymph Node and Spleen: Reactive/infectious > Reactive nodal processes > Progressive transformation of germinal centers
Published Date: 03/13/2019

This case pertains to a 15-year-old boy with an isolated enlarged right neck lymph node which was excised.

The case demonstrates a reactive-appearing lymph node with intact nodal architecture and with progressive transformation of germinal centers (PTGC). PTGC affects mostly young male patients and presents with isolated lymphadenopathy. It has rarely been desceribed as a synchronous occurrence with NLPHL or may precede the development of NLPHL. 

The etiology is unknown, but there is an association with autoimmune conditions.

Learning points:

  1. ​Histomorphology demonstrates large expansile follicles with focal disruption by ingrowth of mantle zone cells.
  2. IgD and BCL2 immunostaining can highlight encroachment by mantle cells.
  3. Scattered large centroblasts or immmunoblasts may be mistaken for "popcorn cells" of NLPHL which is associated with PTGC.
  4. PD-1 and CD57 immunostaining demonstrate even distribution of follicular hleper T-cells in constrast to hyperplasia and NLPHL.
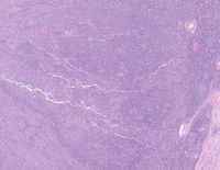
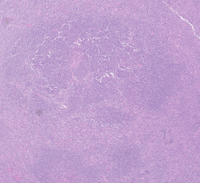
H&E

The sections studied demonstrate mostly intact lymph node architecture with atypical expanded follicular structures on low magnification. The depicted follicles are disproportionately increased in size and have thickened mantle zones which frequently encroach into their germinal center and disrupting it.

Although not shown, examination at high magnification reveals an increased number of immunoblasts as characterized by slightly marginated chromatin and conspicuous centrally located nucleoli, present mostly in the perifollicular region. There are no definite large atypical cells ("L&H" or "popcorn" cells) present.

PTGC--HE
#00062278
 
PTGC--HE
#00062279
 
Immunostains - CD20, CD10

CD20 highlights the B-cells within the expanded follicular structures including the as well as mantle zone cells. Note the markedly enlarged PTGC follicle on top with reactive normal looking follicles at the bottom.

CD10 highlights germinal center B-cells only with a moth-eaten pattern of staining consistent with the encroachment of CD10-negative mantle zone cells within the follicles.

PTGC--CD20
#00062274
 
PTGC--CD20
#00062275
 
PTGC--CD10
#00062272
 
PTGC--CD10
#00062273
 
Immunostains - IgD, BCL-2

IgD and BCL2 highlight mantle zone cells and areas of progressive transformation of germinal centers with influx of mantle zone cells into the disrupted follicles. Compare to the reactive small secondary follicles at the bottom with positive staining for IgD and BCL2 restricted to mantle zone of secondary lymphoid follicle.

PTGC--IgD
#00062280
 
PTGC--IgD
#00062281
 
PTGC--BCL2
#00062270
 
PTGC--BCL2
#00062271
 
Immunostains - PD1, CD57

PD-1 and CD57 highlight increased numbers of T-follicular helper cells within the disrupted follicles.

PTGC--PD1-CD279
#00062282
 
PTGC--PD1-CD279
#00062283
 
PTGC--CD57
#00062276
 
PTGC--CD57
#00062277
 

Advertisement intended for health care professionals