Advertisement intended for health care professionals

l

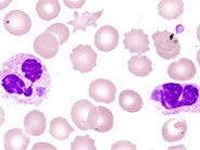
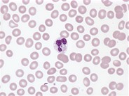
Anaplasma morulae detected on peripheral smear

Anaplasma morulae detected on peripheral smear
#00023065
Author: Janet McNaughton, John Schmieg, Meredith Lakey
Category: Infectious Disease > Bacteria > Ehrlichia > Anaplasmosis
Published Date: 11/12/2013

A 40-year-old man with no significant past medical history was admitted to the hospital with remitting and relapsing fevers for 5 days with the highest temperature of 103 F. Symptom onset began during a road trip along the East Coast from Boston to New Orleans. A complete blood count on presentation showed pancytopenia (WBC 2.6, Hgb/Hct 10.5/29.9, Plt 113). The peripheral blood smear showed rare neutrophils with single basophilic intracytoplasmic inclusions (pictured). Similar inclusions were not seen within monocytes. Blood and urine cultures were negative. Serologic studies performed on the peripheral blood for Histoplasma, Human Granulocytotropic Ehrlichiosis (HGE) (Anaplasma phagocytophila), and Human Monocytotropic Ehrlichiosis (Ehrlichia chaffeensis) were negative. PCR performed on the peripheral blood was positive for A. phagocytophila and negative for E. chaffeensis. The neutrophilic inclusions were confirmed to be anaplasma/ehrlichia morulae (mulberry-like intravacuolar microcolonies of bacteria stained by Wright-Giemsa). The patient was treated with doxycycline. Reference: McPherson RA, Pincus MR. Henry’s Clinical Diagnosis and Management by Laboratory Methods. 22nd ed. Philadelphia, PA: Elsevier Saunders; 2011: 1073-1074.

Advertisement intended for health care professionals