Advertisement intended for health care professionals

l

Simultaneous PRES and TMA secondary to tacrolimus after allogeneic bone marrow transplant

Simultaneous PRES and TMA secondary to tacrolimus after allogeneic bone marrow transplant
#00060683
Author: Daniel B. Aruch; Anne Renteria
Category: Stem Cell Transplantation > Other transplantation related complications
Published Date: 05/03/2016

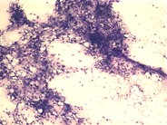
A 25-year-old woman with FLT3-ITD positive acute myeloid leukemia underwent cord blood transplantation with fludarabine, cyclophosphamide, and total body irradiation conditioning. Despite prophylaxis with mycophenolate and tacrolimus, she suffered from grade 4 gastrointestinal graft-versus-host disease that was managed with rabbit antithymoglobulin and extracorporeal photopheresis. She developed posterior reversible encephalopathy syndrome (PRES) manifesting with encephalopathy, seizures, and consistent brain magnetic resonance imaging (panel A) and thrombotic microangiopathic anemia (TMA) with schistocytes on peripheral blood smear (panel B), elevated lactate dehydrogenase, low haptoglobin, and normal ADAMTS13. Cessation of tacrolimus and administration of eculizumab led to the resolution of both. Subsequently, she died after complications from cytomegalovirus, Pneumocystis jirovecii, and enterococcus infections.This case demonstrates the challenges and unique pathologies associated with allogeneic transplantation. Calcineurin inhibitors are known to cause PRES and TMA but the relationship between these pathologies is unknown. Our case highlights that after diagnosis of either, evaluation for the second should be considered.

Advertisement intended for health care professionals