Advertisement intended for health care professionals

l

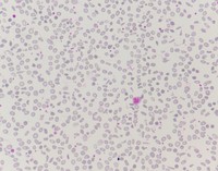
Apoptotic neutrophil in peripheral blood of a patient with myelodysplastic syndrome (MDS)

Apoptotic neutrophil in peripheral blood of a patient with myelodysplastic syndrome (MDS)
#00061103
Author: Ian Chin-Yee; Kartiga Thiyagarajah
Category: Myeloid Neoplasms and acute leukemia (WHO 2016) > Myelodysplastic Syndromes (MDS)
Published Date: 08/01/2017

A 69-year-old male presented with anemia and thrombocytopenia. Bone marrow aspirate and biopsy confirmed the diagnosis of myelodysplastic syndrome (MDS) with multilineage dysplasia. Peripheral blood revealed the stages of neutrophil apoptosis: the chromatin condenses and the cell shrinks (Panel A), the nucleus and organelles disintegrate (B and C), and an apoptotic body forms (D). Neutrophils migrate from peripheral blood to the marrow, liver, or spleen to undergo apoptosis. Therefore, apoptotic neutrophils are infrequently seen in peripheral blood. Neutrophil apoptosis is a constitutive process but may be induced by infectious or inflammatory conditions, or seen as artefact on blood film made from a stored sample. There is also evidence to suggest that neutrophil apoptosis in peripheral blood may contribute to neutropenia in MDS. Two case-control studies found a higher percentage of apoptotic granulocytes in peripheral blood of patients with MDS compared to controls1,2. In patients with MDS, there was also a negative correlation between the percentage of apoptotic granulocytes in peripheral blood and the neutrophil count. This suggests that apoptotic neutrophils in patients with MDS, which are often overlooked, may be a good indicator of bone marrow failure and useful in the risk stratification of these patients.

 

1. Hamada K, Takahashi I, Matsuoka M, Saika T, Mizobuchi N, Yorimitsu S, Takimoto H. Apoptosis of peripheral leukocytes in patients with myelodysplastic syndromes. Rinsho Ketsueki. 1998 Nov;39(11):1079-84.

 

2. Emura I. High incidence of apoptosis in peripheral blood of myelodysplastic syndrome patients determined by Papanicolaou-stained preparations. Lab Hematol. 2003;9(1):42-6.

Advertisement intended for health care professionals