Advertisement intended for health care professionals

l

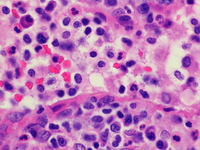
Mastocytosis, bone marrow

Mastocytosis, bone marrow
#00061380
Author: Timothy C Carll, MD; Girish Venkataraman, MD, MBBS
Category: Myeloid Neoplasms and acute leukemia (WHO 2016) > Mastocytosis > Systemic Mastocytosis (SM)
Published Date: 03/23/2018

Neoplastic spindle shaped mast cells in systemic mastocytosis (SM)

 

CD117, mast cell tryptase are useful markers for identifying mast cells while CD25 expression is restricted to neoplastic mast cells. KITD816V is the most common mutation in SM.

 

​Flashcards2018

Advertisement intended for health care professionals