Advertisement intended for health care professionals

l

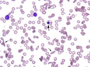
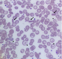
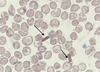
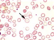
Hemoglobin C disease

Hemoglobin C disease
#00063973
Author: Ke Xu, MD
Category: Red Cell: Hemoglobin disorder > Qualitative disorders > Hemoglobin C
Published Date: 04/20/2022

The blood film of a patient with hemoglobin C disease showing microcytosis, large numbers of both target cells and irregularly contracted cells.

Advertisement intended for health care professionals