Advertisement intended for health care professionals

l

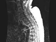
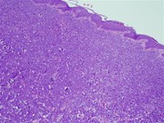
Granulocytic sarcoma

Granulocytic sarcoma
#00064099
Author: Diego Mauricio Barbosa Loria, MD; Ana Maria Sobrino Vargas
Category: Myeloid Neoplasms and acute leukemia (WHO 2016) > Acute Myeloid Leukemia > Myeloid sarcoma
Published Date: 09/06/2022

Granulocytic sarcoma in a patient with Acute Promyelocytic Leukemia

Advertisement intended for health care professionals