Advertisement intended for health care professionals

l

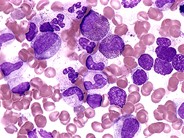
Iron overload

Iron overload
#00064409
Author: Najmaldin Saki Ph.D; Bita Bandar M.Sc; Mohammad Amin Vahid M.Sc; Ehsan Sarbazjoda M.Sc
Category: Laboratory Hematology > Special hematology tests > Iron stain  
Published Date: 03/28/2023

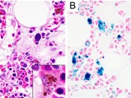
A bone marrow aspirate stained with Prussian blue showing marked iron overload in a patient with hereditary hemochromatosis and high serum ferritin level.

Advertisement intended for health care professionals