Advertisement intended for health care professionals

l

HbH disease

HbH disease
#00065744
Author: Ankita Soni; Manjit Kaur Rana
Category: Red Cell: Hemoglobin disorder > Quantitative disorders (thalassemias) > Alpha-thalassemia > HbH disease (-a/--)
Published Date: 10/14/2025

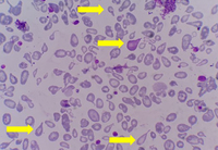
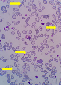
Peripheral blood examination showed a microcytic hypochromic picture with the presence of target cells (panel A). New methylene blue stain showed increased reticulocyte counts and golf ball-like inclusions of HbH (black arrow; panel B). HPLC (post-transfusion) showed a sharp peak within the first minute of elution (Retention time- 0.37 sec) (panels C & D).

Advertisement intended for health care professionals