Advertisement intended for health care professionals

l

Chronic myelomonocytic leukemia with KRAS mutation

Chronic myelomonocytic leukemia with KRAS mutation
#00065791
Author: Tran B. Nguyen, MD; Luis F. Carrillo, MD
Category: Myeloid Neoplasms and acute leukemia (WHO 2016) > Myelodysplastic/myeloproliferative neoplasms (MDS/MPN) > Chronic Myelomonocytic Leukemia
Published Date: 09/10/2025

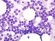
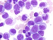
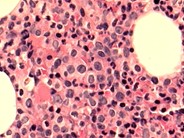
A 64-year-old man presented to our institution with a several-year history of chronic intermittent macrocytic anemia, leukocytosis, and monocytosis. A complete blood count showed a WBC of 13.6 x 109/L (39.6% monocytes), absolute monocyte count of 5.4 x 109/L; hemoglobin 12.3 g/dL; and platelets 141 x 109/L. The peripheral blood smear and bone marrow aspirate smear demonstrated frequent atypical monocytes (panels A-B, Wright-Giemsa stain, 50x magnification) and numerous megakaryocytes with dysplastic features, including small size, hypolobation, and abnormal chromatin pattern (panels C-E, Wright-Giemsa stain, 50x magnification). The core biopsy was hypercellular (80%) and demonstrated dysplastic megakaryocytes (panel F, hematoxylin and eosin, 20x magnification). Concurrent flow cytometry identified an increased monocytic population with partial dim expression of CD56 and 95% classical monocytes lacking CD16 expression (panels G-H). Subsequent myeloid next-generation sequencing (NGS) revealed pathogenic variants in KRAS and U2AF1, supporting the diagnosis of chronic myelomonocytic leukemia, type 1, myeloproliferative subtype (CMML-MP). 

CMML is a myeloid neoplasm characterized by myeloproliferative and myelodysplastic features, sustained peripheral blood monocytosis, and somatic mutations. The CMML-MP subtype is frequently associated with Ras pathway mutations (including NRAS, KRAS, CBL, and NF1) and is associated with an adverse prognosis compared to the myelodysplastic type (CMML-MDS).

Advertisement intended for health care professionals