Advertisement intended for health care professionals

l

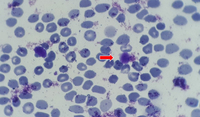
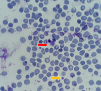
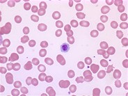
Giant platelet

Giant platelet
#00065955
Author: Dr. Madhura Jogwar; Dr. Sumitha Baskaran; Metropolis Healthcare Ltd
Category: Laboratory Hematology > Basic cell morphology > Morphologic variants of platelets (cross-reference with specific diagnoses when appropriate > Large and giant platelets  
Published Date: 11/20/2025

Image showing a giant platelet against a backgroud of RBCs.

Advertisement intended for health care professionals